[Ortho] Таз

"Петр" orthoforum на weborto.net
Ср Дек 21 15:15:38 YEKT 2011


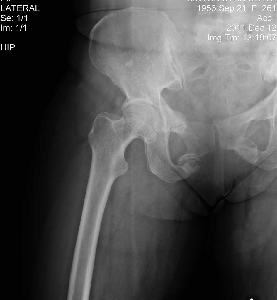
Добрый день. Есть вопрос относительно тактики лечения, синтеза(доступа, фиксатора).

Травма 3 года назад , перелом типа "бабочки".В настоящее время беспокоят боли в области
лонной кости при стоянии и ходьбе, в покое все спокойно.
Петр
----------- следущая часть -----------
Вложение в формате HTML было извлечено…
URL: http://weborto.net:8080/pipermail/ortho/attachments/20111221/58d00dcc/attachment-0001.htm 
----------- следущая часть -----------
Вложение не в текстовом формате было извлечено…
Имя     : 1.jpg
Тип     : image/jpg
Размер  : 47689 байтов
Описание: отсутствует
Url     : http://weborto.net:8080/pipermail/ortho/attachments/20111221/58d00dcc/attachment-0001.jpg 


Подробная информация о списке рассылки Ortho