[Ortho]

ersin-surgery mail.ru
21 23:42:44 YEKT 2011


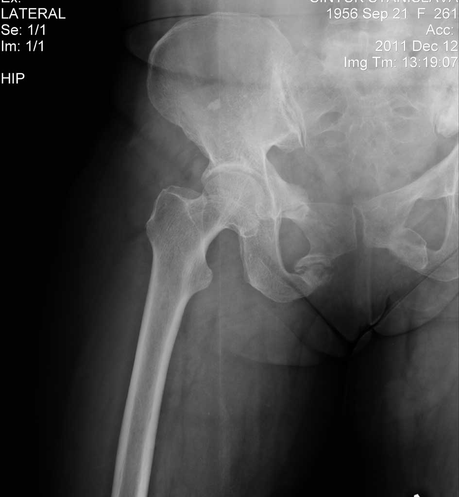
Доброго времени суток! судя по рентгенограмме у пациента ложный сустав лонной кости. Как сложатся остальные мнения не знаю но мы закрыто зафиксировали бы винтом тем самым  разрушается замыкательная пластина и склероз в зоне ложного сустава, малотравматично и низкий риск осложнения я имею ввиду нагноение раны, а еще до операции провести КТ, посмотреть задний комплекс, нередко выявляется  переломы боковой массы крестца со сдавливанием крестцового отверстия боли могут быть связаны с неврологией тогда тактика может измениться в отношении фиксации заднего комплекса. С уважением Ерсин Жунусов.


21 декабря 2011, 18:34 от "Петр" <orthoforum  weborto.net>:
Добрый день. Есть вопрос относительно тактики лечения, синтеза(доступа, фиксатора).

Травма 3 года назад , перелом типа "бабочки".В настоящее время беспокоят боли в области
лонной кости при стоянии и ходьбе, в покое все спокойно.
Петр
_______________________________________________
Ortho mailing list
Ortho  weborto.net
http://weborto.net:8080/mailman/listinfo/ortho

-----------   -----------
Вложение в формате HTML было извлечено&hellip;
URL: http://weborto.net:8080/pipermail/ortho/attachments/20111221/a49138be/attachment-0001.htm 
-----------   -----------
Вложение не в текстовом формате было извлечено&hellip;
Имя     : отсутствует
Тип     : image/jpg
Размер  : 47689 байтов
Описание: отсутствует
Url     : http://weborto.net:8080/pipermail/ortho/attachments/20111221/a49138be/attachment-0001.jpg 


Ortho