[Ortho]

devin59 bk.ru
26 11:36:50 YEKT 2011




26 декабря 2011, 09:33 от "Дмитрий Ш " <orthoforum  weborto.net>:
Прошу уважаемых коллег высказать мнение по следующему случаю.
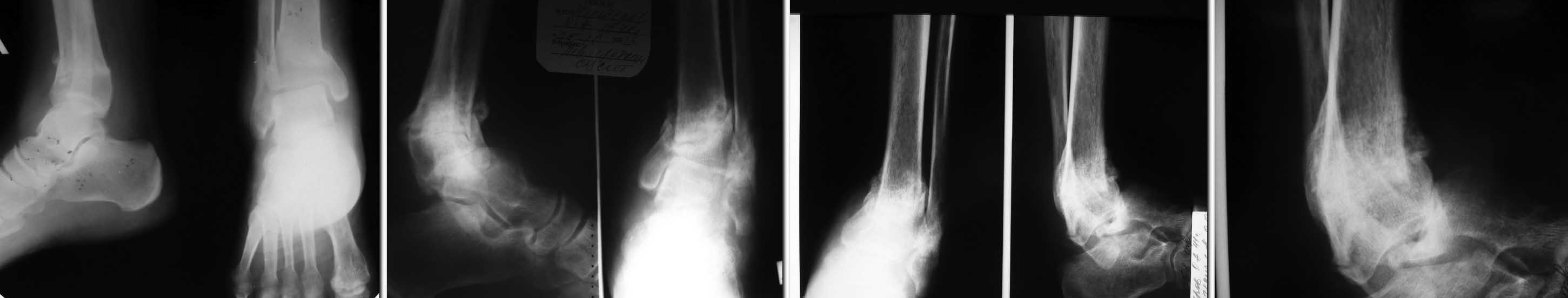
Пациент 40 лет,   получает в течение 5 лет постоянно терапию ГКС по поводу саркоидоза легких и болезни  Бехтерева . 


в начале лета сего года подвернул ногу. Появились умеренные боли при ходьбе, постепенно усиливались, через пару недель обратился в поликлинику к хирургу.  Выполнена р-графия (1 снимок) Выявлен перелом, рекомендовано "ходить потихоньку с тростью"  (со слов пациента). В октябре повторное обращение и контрольная р-графия из за усиления болей - выявлен ложный сустав,
(снимок 2 ) Пациент начал ходить по консультантам. К нам обратился к декабрю, боли усилились значительно. Р-логически - полный передний вывих стопы (последняя пара рентгенограмм), однако пациент ходит с тростью. 
Возникли вопросы: первый и главный - как помочь? Мы обсуждали вариант артродеза голеностопного сустава, но может еще есть варианты?
- Ждать ли проблем с консолидацией в зоне артродеза из-за наличия срастающегося перелома рядом?
-может операцию отложить до сращения ложного сустава, или пытаться всех зайцев убить сразу большим костным трансплантатом или мощным фиксатором...
В общем будем рады рассмотреть любое суждение. Спасибо заранее.
p.s фото  стопы под нагрузкой весом тела в следующем комментарии 
Дмитрий Ш  
_______________________________________________
Ortho mailing list
Ortho  weborto.net
http://weborto.net:8080/mailman/listinfo/ortho
 Уважаемый Дмитрий!
Мне кажется, что в данном случае причиной патологического переднего вывиха стал асептический некроз таранной кости.
Следует выполнить корригирующий артродез из наружного чрезлодыжечного  доступа (с остеотомией выше зоны ложного сустава). В зону клиновидной резекции включить некротизированную таранную кость. Если после резекции от таранной кости ничего не останется - выполнить большеберцово-пяточный артродез, укрепить его спереди оставшейся частью таранной кости, снаружи - наружной лодыжкой. Фиксация в аппарате Илизарова.
Ложный сустав консолидирует в процессе фиксации. Главное выставить правильное положение стопы. 
Проблемы со сращением будут.
И.Девин.

-----------   -----------
Вложение в формате HTML было извлечено&hellip;
URL: http://weborto.net:8080/pipermail/ortho/attachments/20111226/922c21df/attachment-0001.htm 
-----------   -----------
Вложение не в текстовом формате было извлечено&hellip;
Имя     : отсутствует
Тип     : image/jpg
Размер  : 60900 байтов
Описание: отсутствует
Url     : http://weborto.net:8080/pipermail/ortho/attachments/20111226/922c21df/attachment-0001.jpg 


Ortho