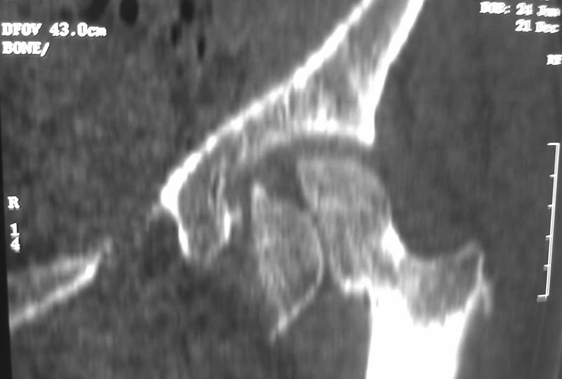
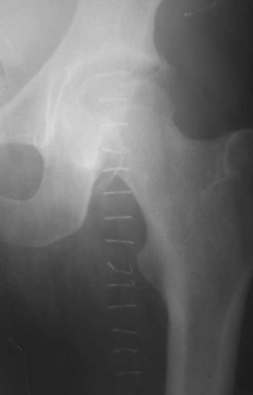
[Ortho] Перелом головки бедренной кости. Эндопротез?

"Алексей" orthoforum на weborto.net
Пт Дек 30 14:55:06 YEKT 2011


Движение в суставе, отведение - 35 гр., згибання- 90 гр., внутр. ротация- відсутня, зовн. ротація - 20 гр
Алексей

----------- гЬХФенСб оСгди -----------
Вложение в формате HTML было извлечено…
URL: http://weborto.net:8080/pipermail/ortho/attachments/20111230/74d101a0/attachment-0001.htm 
----------- гЬХФенСб оСгди -----------
Вложение не в текстовом формате было извлечено…
Имя     : IMAG0750.jpg
Тип     : image/jpg
Размер  : 78456 байтов
Описание: отсутствует
Url     : http://weborto.net:8080/pipermail/ortho/attachments/20111230/74d101a0/attachment-0004.jpg 
----------- гЬХФенСб оСгди -----------
Вложение не в текстовом формате было извлечено…
Имя     : IMAG0751.jpg
Тип     : image/jpg
Размер  : 80391 байтов
Описание: отсутствует
Url     : http://weborto.net:8080/pipermail/ortho/attachments/20111230/74d101a0/attachment-0005.jpg 
----------- гЬХФенСб оСгди -----------
Вложение не в текстовом формате было извлечено…
Имя     : IMAG0753.jpg
Тип     : image/jpg
Размер  : 48156 байтов
Описание: отсутствует
Url     : http://weborto.net:8080/pipermail/ortho/attachments/20111230/74d101a0/attachment-0006.jpg 
----------- гЬХФенСб оСгди -----------
Вложение не в текстовом формате было извлечено…
Имя     : IMAG0756.jpg
Тип     : image/jpg
Размер  : 17390 байтов
Описание: отсутствует
Url     : http://weborto.net:8080/pipermail/ortho/attachments/20111230/74d101a0/attachment-0007.jpg 


Подробная информация о списке рассылки Ortho