[Ortho] Перелом головки бедренной кости. Эндопротез?

Djoldas Kuldjanov orthoforum на weborto.net
Сб Дек 31 01:32:37 YEKT 2011


В молодом возрасте (23 лет) даже самый продвинутый эндопротез не заменит собственную головку, и здесь рекомендуется органосохраняющая операция.

При сопутствующем переломе головки с ацетабулум, тогда артротомия из того доступа, который позволит фиксировать перелом впадины и фиксировать головку шурупами. На сегодня Headless Screw Synthes имеет преимущества перед другими, но при отстутствии их можно сделать обычными 3.5 мм., только головку надо утопить. При изолированном переломе доступ через trochanteric flip approach, который позволяет вывихнуть головку из ацетабулума и свободно работать без риска АВН. В вашем случае можно из переднего Smith Petersen доступа, потому что осколок спереди.

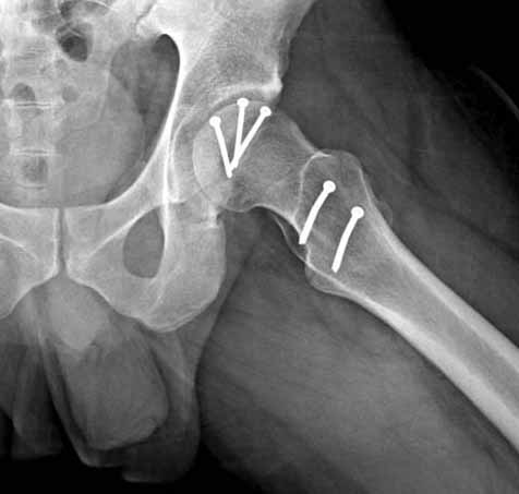
Представлены несколько вариантов фиксации: первый случай перелом головки с задним краем, операция из заднего доступа Кохер, а второй случай изолированный перелом головки - из трохантерного доступа.

Djoldas Kuldjanov, M.D.
Associate Professor
Department of Orthopedic Surgery
St. Louis University
----------- следущая часть -----------
Вложение в формате HTML было извлечено…
URL: http://weborto.net:8080/pipermail/ortho/attachments/20111231/d311d17a/attachment-0001.htm 
----------- следущая часть -----------
Вложение не в текстовом формате было извлечено…
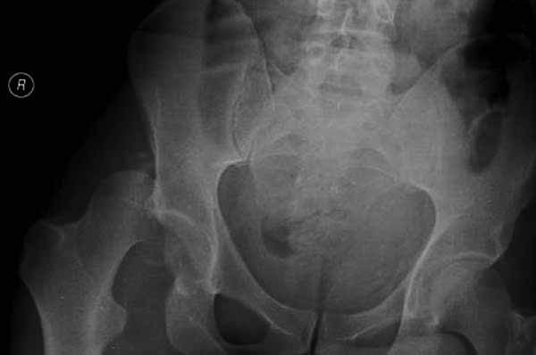
Имя     : 1 Fem head fx.jpg
Тип     : image/jpg
Размер  : 21832 байтов
Описание: отсутствует
Url     : http://weborto.net:8080/pipermail/ortho/attachments/20111231/d311d17a/attachment-0010.jpg 
----------- следущая часть -----------
Вложение не в текстовом формате было извлечено…
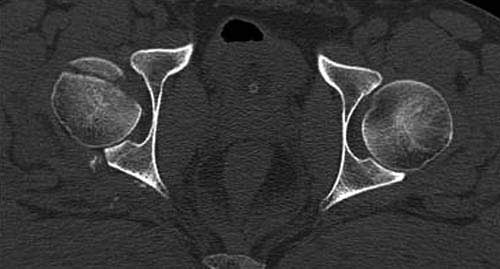
Имя     : 2 Fem head  CT.jpg
Тип     : image/jpg
Размер  : 42793 байтов
Описание: отсутствует
Url     : http://weborto.net:8080/pipermail/ortho/attachments/20111231/d311d17a/attachment-0011.jpg 
----------- следущая часть -----------
Вложение не в текстовом формате было извлечено…
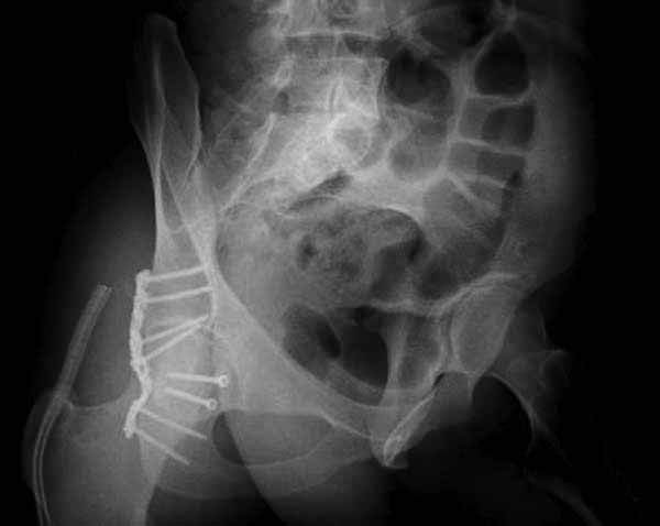
Имя     : 2-6 Fem head  fx-dislocation.jpg
Тип     : image/jpg
Размер  : 18301 байтов
Описание: отсутствует
Url     : http://weborto.net:8080/pipermail/ortho/attachments/20111231/d311d17a/attachment-0012.jpg 
----------- следущая часть -----------
Вложение не в текстовом формате было извлечено…
Имя     : 2-7 Fem head  fx-disl post reduction.jpg 0.jpg
Тип     : image/jpg
Размер  : 29867 байтов
Описание: отсутствует
Url     : http://weborto.net:8080/pipermail/ortho/attachments/20111231/d311d17a/attachment-0013.jpg 
----------- следущая часть -----------
Вложение не в текстовом формате было извлечено…
Имя     : 2-8 Fem head  fx-disl post reduction CT.jpg
Тип     : image/jpg
Размер  : 63818 байтов
Описание: отсутствует
Url     : http://weborto.net:8080/pipermail/ortho/attachments/20111231/d311d17a/attachment-0014.jpg 
----------- следущая часть -----------
Вложение не в текстовом формате было извлечено…
Имя     : 2-9 Fem head  fx-disl post reduction Xray.jpg
Тип     : image/jpg
Размер  : 29283 байтов
Описание: отсутствует
Url     : http://weborto.net:8080/pipermail/ortho/attachments/20111231/d311d17a/attachment-0015.jpg 
----------- следущая часть -----------
Вложение не в текстовом формате было извлечено…
Имя     : 2-10 Fem Head fx fin.jpg
Тип     : image/jpg
Размер  : 29786 байтов
Описание: отсутствует
Url     : http://weborto.net:8080/pipermail/ortho/attachments/20111231/d311d17a/attachment-0016.jpg 
----------- следущая часть -----------
Вложение не в текстовом формате было извлечено…
Имя     : 3 Fem head  CT.jpg
Тип     : image/jpg
Размер  : 27916 байтов
Описание: отсутствует
Url     : http://weborto.net:8080/pipermail/ortho/attachments/20111231/d311d17a/attachment-0017.jpg 
----------- следущая часть -----------
Вложение не в текстовом формате было извлечено…
Имя     : 4 Fem head  CT.jpg
Тип     : image/jpg
Размер  : 30471 байтов
Описание: отсутствует
Url     : http://weborto.net:8080/pipermail/ortho/attachments/20111231/d311d17a/attachment-0018.jpg 
----------- следущая часть -----------
Вложение не в текстовом формате было извлечено…
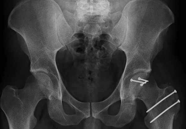
Имя     : 5 Fem head  Postop.jpg
Тип     : image/jpg
Размер  : 25880 байтов
Описание: отсутствует
Url     : http://weborto.net:8080/pipermail/ortho/attachments/20111231/d311d17a/attachment-0019.jpg 


Подробная информация о списке рассылки Ortho