[Ortho] очаг фиброза в правой большеберцовой кости

Gleb Korobushkin orthoforum на weborto.net
Вт Фев 1 08:23:25 YEKT 2011


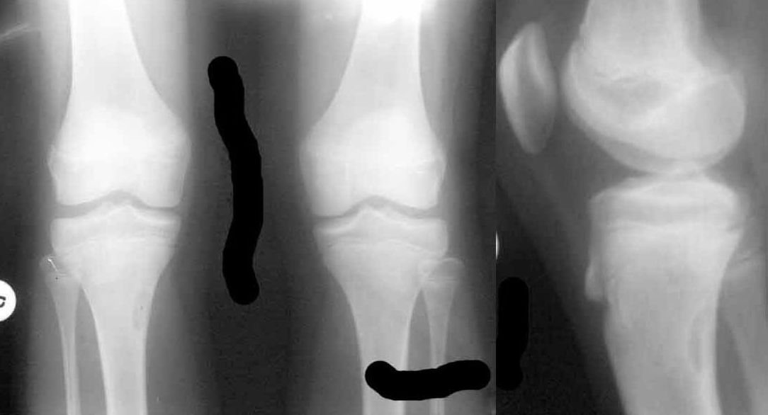
Коллеги обратились педиатры с вопросом:
"Девочке сейчас 12.5 лет,
Летом этого года стартовал пубертат, начала вытягиваться. В течение лета были активные физические нагрузки, в августе - длительные пешие походы в горах. С сентября стали появляться боли в коленных суставах, связанные с подъемом по лестнице и при приседании. Боли непостоянные, то в одной, то в другой ноге, иногда одновременно в обоих коленях. В покое и при обычной ходьбе боли не отмечаются. 
18.01.2011 сделали снимки коленных суставов – выявлен очаг фиброза в правой большеберцовой кости?"
Что это? 
С ув КГ
----------- УМЕДХЭБС ЮБУФШ -----------
Вложение не в текстовом формате было извлечено…
Имя     : 1.jpg
Тип     : image/jpeg
Размер  : 48975 байтов
Описание: отсутствует
Url     : http://weborto.net:8080/pipermail/ortho/attachments/20110201/b4a148a0/attachment-0001.jpg 


Подробная информация о списке рассылки Ortho