[Ortho] Лучевая косорукость

Васюков Вячеслав orthoforum на weborto.net
Сб Фев 12 11:54:14 YEKT 2011


Уважаемые коллеги,

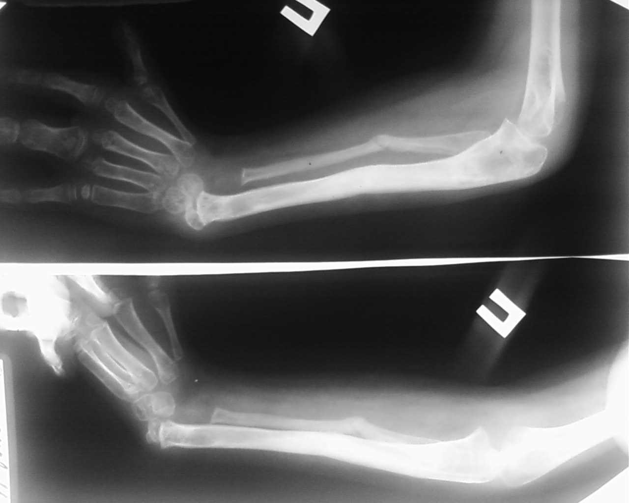
Ребёнок Д.9 лет, клинический диагноз врожденная правосторонняя лучевая косорукость первой степени.
В мае 2009 года проведено удлинение обеих костей правого предплечья в аппарате Илизарова на 4 см, в процессе дистракции был разрыв регенерата, произведена компрессия в аппарате структура кости восстановлена. Сохраняется порочное положение кисти
В настоящее время наложен аппарат внешней фиксации на правую локтевую
кость и третью пястную кость, с целью устранения порочного положения
правого кистевого сустава.Уважаемые коллеги, помогите определиться с
дальнейшей тактикой лечения данного ребенка.

С уважением коллектив ТОО
Краевая детская клиническая больница г. Ставрополя.
----------- УМЕДХЭБС ЮБУФШ -----------
Вложение не в текстовом формате было извлечено…
Имя     : 0001.jpg
Тип     : image/jpeg
Размер  : 37647 байтов
Описание: отсутствует
Url     : http://weborto.net:8080/pipermail/ortho/attachments/20110212/c65ec31e/attachment-0001.jpg 


Подробная информация о списке рассылки Ortho