[Ortho] перелом бедра

romanxray orthoforum на weborto.net
Чт Фев 17 19:47:51 YEKT 2011


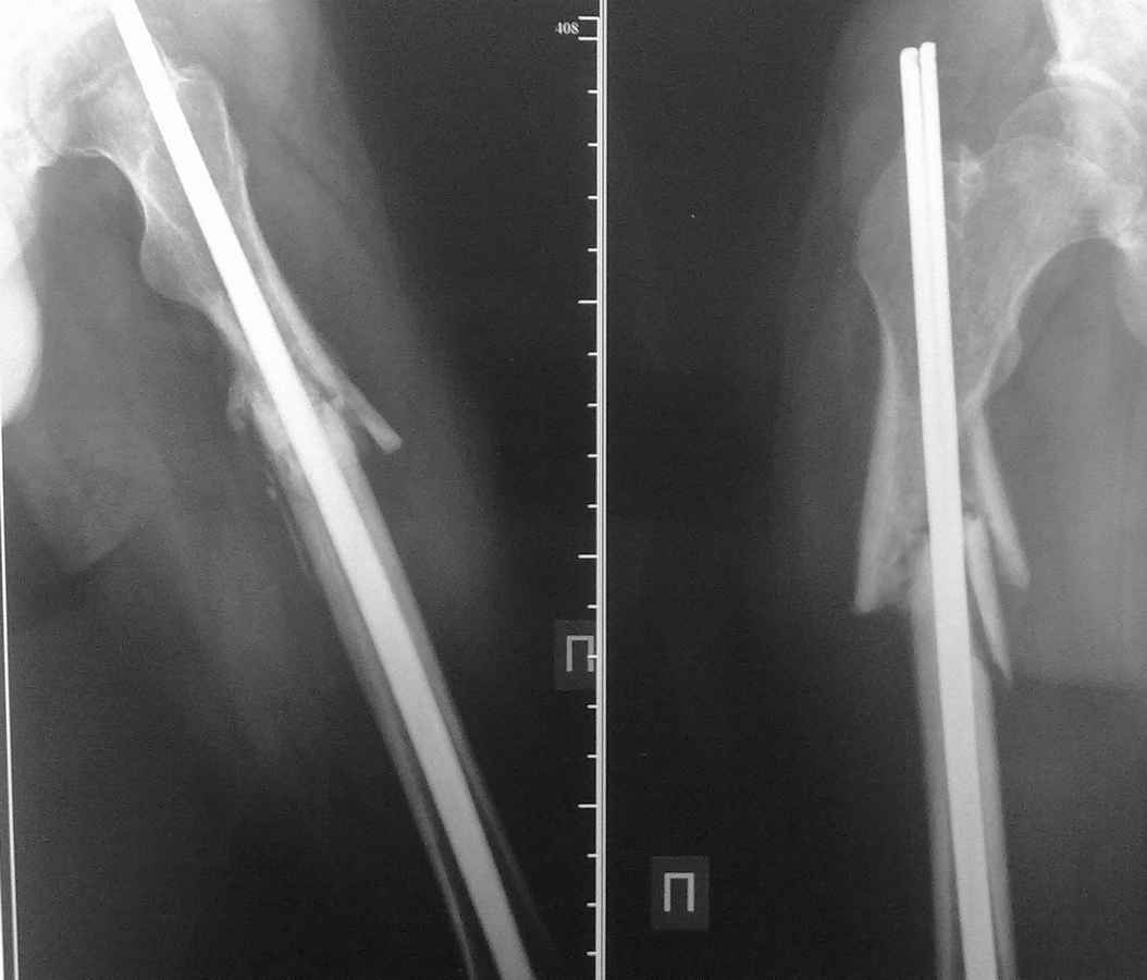
у пациента 24 лет после перелома бедра в ноябре 10г. и остеосинтеза двумя титановыми
стержнями наступило вторичное смещение отломков и миграция стержней, укорочение 5 см

посылаю Рг-граммы и прошу Вашего мнения по тактике дальнейшего лечения, имеются
расхождения во мнениях...

с уважением, Роман
ЧГБ

----------- УМЕДХЭБС ЮБУФШ -----------
Вложение не в текстовом формате было извлечено…
Имя     : 17022011369.jpg
Тип     : image/jpeg
Размер  : 35953 байтов
Описание: отсутствует
Url     : http://weborto.net:8080/pipermail/ortho/attachments/20110217/e54e932b/attachment-0001.jpg 


Подробная информация о списке рассылки Ortho