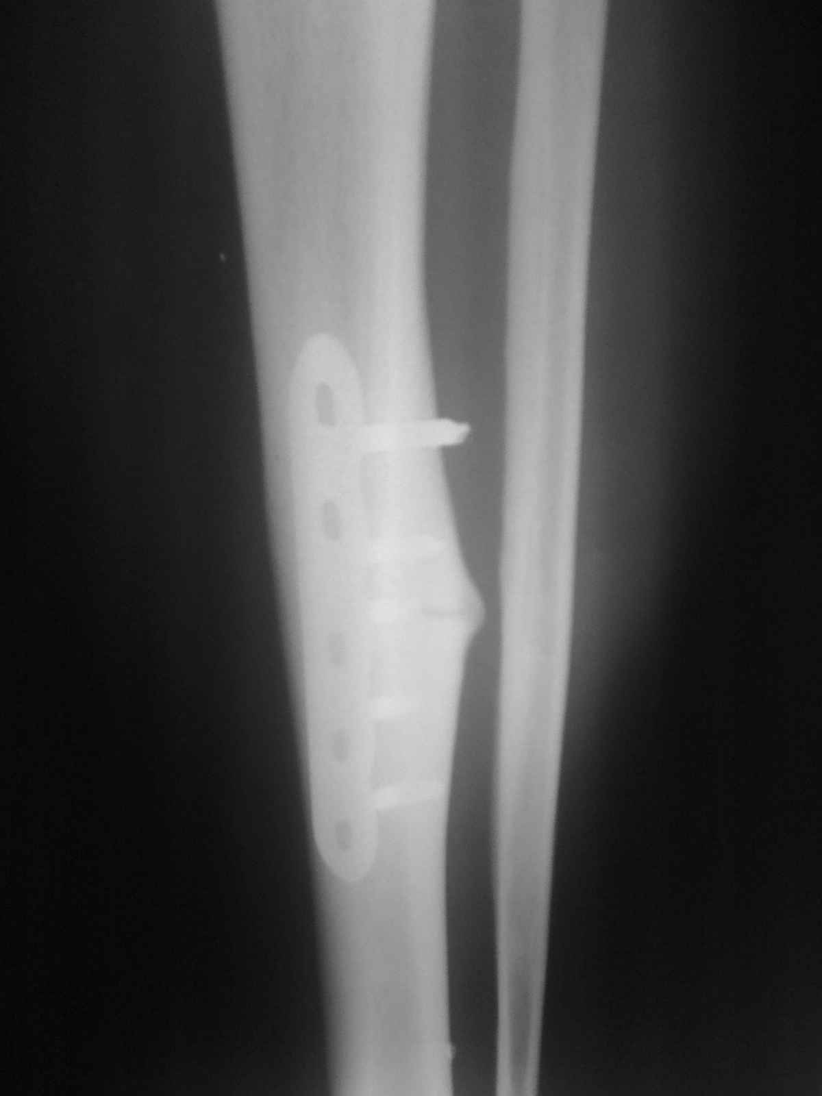
[Ortho] Патологический перелом большеберцовой кости.

Сергей Дукер orthoforum на weborto.net
Чт Фев 17 20:15:06 YEKT 2011


Р-гр
Сергей Дукер
----------- УМЕДХЭБС ЮБУФШ -----------
Вложение не в текстовом формате было извлечено…
Имя     : IMG_0833.JPG
Тип     : image/jpeg
Размер  : 28095 байтов
Описание: отсутствует
Url     : http://weborto.net:8080/pipermail/ortho/attachments/20110217/bb7fd7ae/attachment-0005.jpeg 
----------- УМЕДХЭБС ЮБУФШ -----------
Вложение не в текстовом формате было извлечено…
Имя     : IMG_0834.JPG
Тип     : image/jpeg
Размер  : 23036 байтов
Описание: отсутствует
Url     : http://weborto.net:8080/pipermail/ortho/attachments/20110217/bb7fd7ae/attachment-0006.jpeg 
----------- УМЕДХЭБС ЮБУФШ -----------
Вложение не в текстовом формате было извлечено…
Имя     : IMG_0835.JPG
Тип     : image/jpeg
Размер  : 26597 байтов
Описание: отсутствует
Url     : http://weborto.net:8080/pipermail/ortho/attachments/20110217/bb7fd7ae/attachment-0007.jpeg 
----------- УМЕДХЭБС ЮБУФШ -----------
Вложение не в текстовом формате было извлечено…
Имя     : IMG_0836.JPG
Тип     : image/jpeg
Размер  : 27822 байтов
Описание: отсутствует
Url     : http://weborto.net:8080/pipermail/ortho/attachments/20110217/bb7fd7ae/attachment-0008.jpeg 
----------- УМЕДХЭБС ЮБУФШ -----------
Вложение не в текстовом формате было извлечено…
Имя     : IMG_0837.JPG
Тип     : image/jpeg
Размер  : 35224 байтов
Описание: отсутствует
Url     : http://weborto.net:8080/pipermail/ortho/attachments/20110217/bb7fd7ae/attachment-0009.jpeg 


Подробная информация о списке рассылки Ortho