[Ortho] Перелом бедра

Миронов Андрей orthoforum на weborto.net
Вс Фев 20 01:40:41 YEKT 2011


Добрый день уважаемые коллеги.

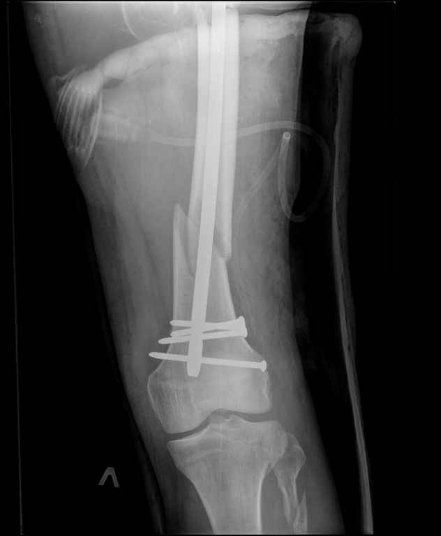
Неделю назад поступил пациент после ДТП. В тяжелом
состоянии. Ds: ТСТ. ЗЧМТ. СГМ. ЗТГК. О/фрагментарный перелом левого бедра. З/оскольчатый
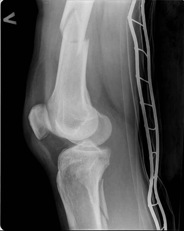
перелом с\3 левого плеча. Перелом левого локтевого отростка. З/перелом наружного мыщелка
б/берцовой кости в/3 м/берцовой кости левой голени. при поступлении, ПХО раны левого бедра(
рана 1х1см по наружной поверхности бедра в с/3) налажено скелетное вытяжение , и гипсовая
лонгета на левую в/конечность.Находился в реанимации.


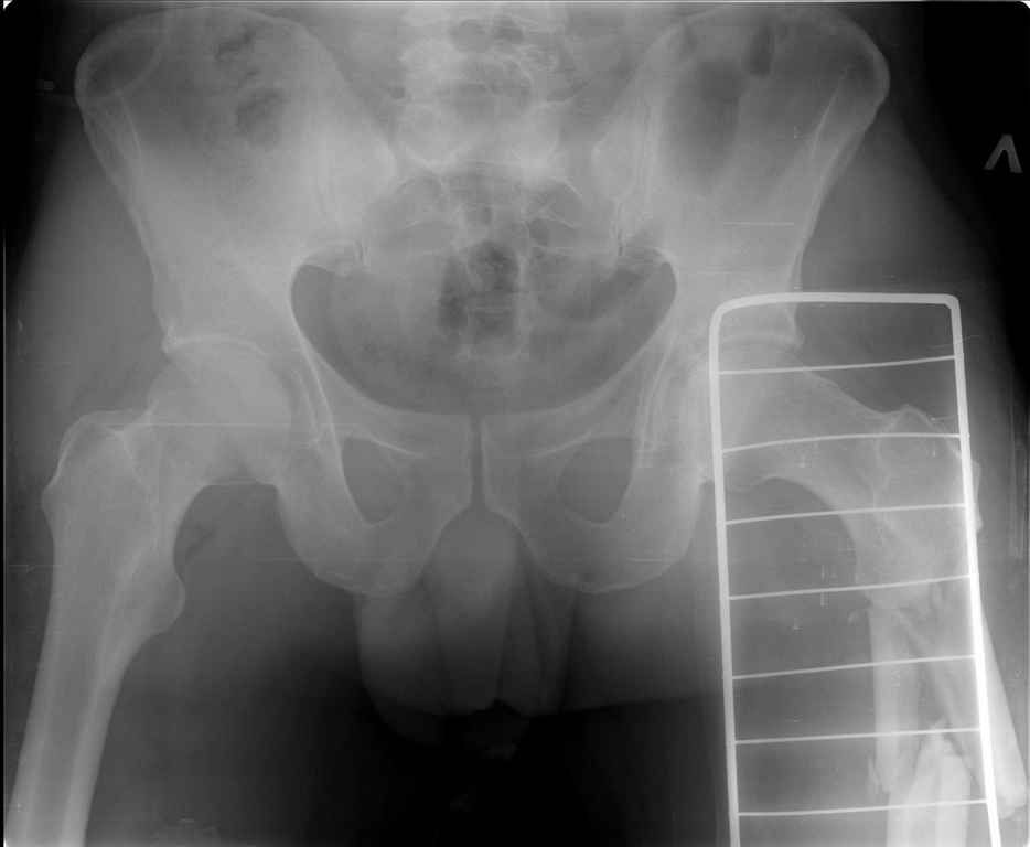
17.02.11был прооперирован: БИОС левого плеча, о/синтез левого
локтевого отростка по Веберу, БИОС левого бедра( длинная 
версия Fi-Can Sanatmetal диаметр 10мм), мыщелок голени трогать не стали.при остеосинтезе
бедра возникли трудности при закрытй репозиции перелома в н/3, в связи с чем решили открыться
внизу , отрепонировали без особого труда и выполнили блокирование во фронтальной плоскости
3-мя винтами + 1 винт спереди гвоздя( промазал). Убрал костодержатель, все нормально,
контроль ЭОПом стояние отломков нормальное, зашились. На контрольной R-мме на утро
выявлено вторичное смещение дистального отломка. Левая нога по сравнению со здоровой
удлиннена до 2,5см( это за счет вальгусной установки гвоздя в проксимальном отделе, боялся
свалиться на варус).


Теперь думаем как поправить положение отломков в н/3, и зафиксировать
так чтобы не съехало. Наше предложение расшиться в н/3 бедра, разблокироваться, перелом
отрепонировать вновь и установить 1или 2отклоняющих винта в сагитальной плоскости, затем
заблокироваться во фронтальной плоскости снова. Помогите советом, как выйти достойно из
сложившейся ситуации. Заранее спасибо.


Миронов Андрей
----------- УМЕДХЭБС ЮБУФШ -----------
Вложение не в текстовом формате было извлечено…
Имя     : Maxmutov^F.S.00000.jpg
Тип     : image/jpeg
Размер  : 19921 байтов
Описание: отсутствует
Url     : http://weborto.net:8080/pipermail/ortho/attachments/20110219/d4d40382/attachment-0005.jpg 
----------- УМЕДХЭБС ЮБУФШ -----------
Вложение не в текстовом формате было извлечено…
Имя     : Maxmutov^F.S.00002.jpg
Тип     : image/jpeg
Размер  : 17580 байтов
Описание: отсутствует
Url     : http://weborto.net:8080/pipermail/ortho/attachments/20110219/d4d40382/attachment-0006.jpg 
----------- УМЕДХЭБС ЮБУФШ -----------
Вложение не в текстовом формате было извлечено…
Имя     : Maxmutov^F.S.00004.jpg
Тип     : image/jpeg
Размер  : 19372 байтов
Описание: отсутствует
Url     : http://weborto.net:8080/pipermail/ortho/attachments/20110219/d4d40382/attachment-0007.jpg 
----------- УМЕДХЭБС ЮБУФШ -----------
Вложение не в текстовом формате было извлечено…
Имя     : Maxmutov^F.S.00005.jpg
Тип     : image/jpeg
Размер  : 14181 байтов
Описание: отсутствует
Url     : http://weborto.net:8080/pipermail/ortho/attachments/20110219/d4d40382/attachment-0008.jpg 
----------- УМЕДХЭБС ЮБУФШ -----------
Вложение не в текстовом формате было извлечено…
Имя     : Maxmutov^F.S.00007.jpg
Тип     : image/jpeg
Размер  : 12889 байтов
Описание: отсутствует
Url     : http://weborto.net:8080/pipermail/ortho/attachments/20110219/d4d40382/attachment-0009.jpg 


Подробная информация о списке рассылки Ortho