[Ortho] Дефект костей черепа.

ancord2006 на rambler.ru ancord2006 на rambler.ru
Пн Фев 21 15:39:19 YEKT 2011


Здравствуйте,Дорогие колеги.

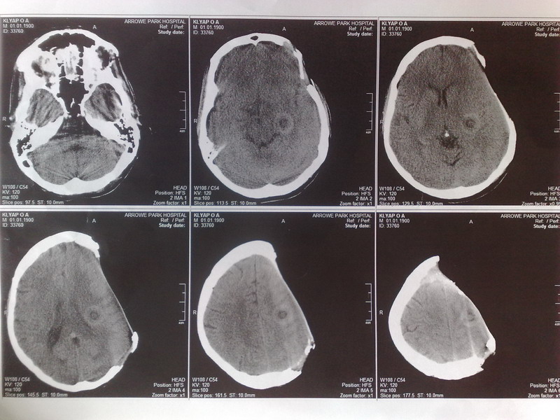
Больной 30 лет. Есть у него жена и дети. Ситуация состоит в том что у нас нет возможности 
прооперировать больного из за того что больной материально не в состоянии оплатить 
столь дорогой метод лечения. Речь идет за обласную больницу. Поскольку уже ранее используемый метод лечения протокриловым трансплантантом 
уже применить нельзя поскольку большой дефект кости. Ранее у больного была опухоль костей
черепа - солитарная плазмоцитома. Которая была удалена. Дефект был замещен протокриловым трансплантантом. Со временем произошло его отторжение.
За последний год дефект немного увеличился. Несколько дней назад было сделано КТ на котором 
поражения головного мозга не обнаружено. Додаю результаты КТ.
Дорогие колеги вопрос состоит в том что чем есть возможнось помочь даному больному,
или возможно есть возможность это сделать на вашем уровне.
Заранее благодарен за внимание.

Best regards,
Victor N. Green
Transcarpation Region, Ukraine
Department of Traumatology and Orthopaedics
ancord2006 на rambler.ru 

skype       vito255011 
icq         356769480
----------- УМЕДХЭБС ЮБУФШ -----------
Вложение не в текстовом формате было извлечено…
Имя     : 180220111062.jpg
Тип     : image/jpeg
Размер  : 154713 байтов
Описание: отсутствует
Url     : http://weborto.net:8080/pipermail/ortho/attachments/20110221/f62d38c6/attachment-0002.jpg 
----------- УМЕДХЭБС ЮБУФШ -----------
Вложение не в текстовом формате было извлечено…
Имя     : 180220111063.jpg
Тип     : image/jpeg
Размер  : 137068 байтов
Описание: отсутствует
Url     : http://weborto.net:8080/pipermail/ortho/attachments/20110221/f62d38c6/attachment-0003.jpg 


Подробная информация о списке рассылки Ortho