[Ortho] Необходим ли МОС обеих костей голени?

Юрий orthoforum на weborto.net
Ср Янв 5 02:12:24 YEKT 2011


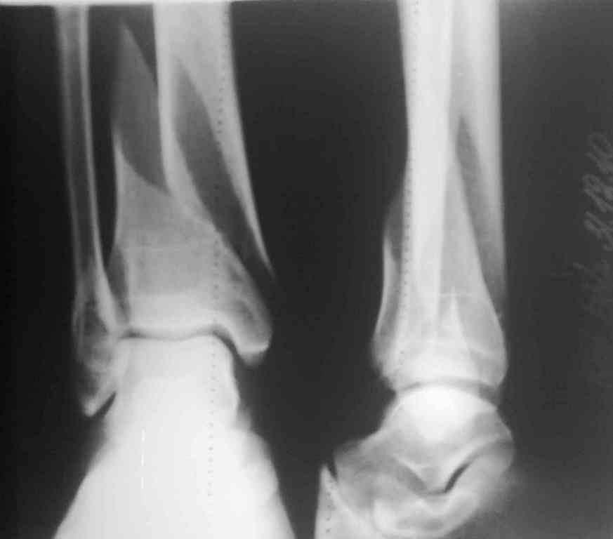
Уважаемые коллеги!На сегодняшнем обсуждении данного клинического примера у нас возникла
дискуссия о целесообразности металлоостеосинтеза латеральной лодыжки.

Предложений несколько:

1)стабильный МОС большеберцовой + гипсовая иммобилицация сегмента 3 - 4 нед;

2)стабильный МОС большеберцовой кости и дальнейшее ведение пациента без внешней
иммобилизации;

3)стабильный МОС обеих костей голени.

Какие у Вас мнения по данному случаю?


Юрий
----------- УМЕДХЭБС ЮБУФШ -----------
Вложение не в текстовом формате было извлечено…
Имя     : 0.jpg
Тип     : image/jpeg
Размер  : 21443 байтов
Описание: отсутствует
Url     : http://weborto.net:8080/pipermail/ortho/attachments/20110105/1fcd0ecc/attachment-0001.jpg 


Подробная информация о списке рассылки Ortho