[Ortho] Несостоятельность импланта

Бережной Сергей orthoforum на weborto.net
Пн Янв 10 21:54:06 YEKT 2011


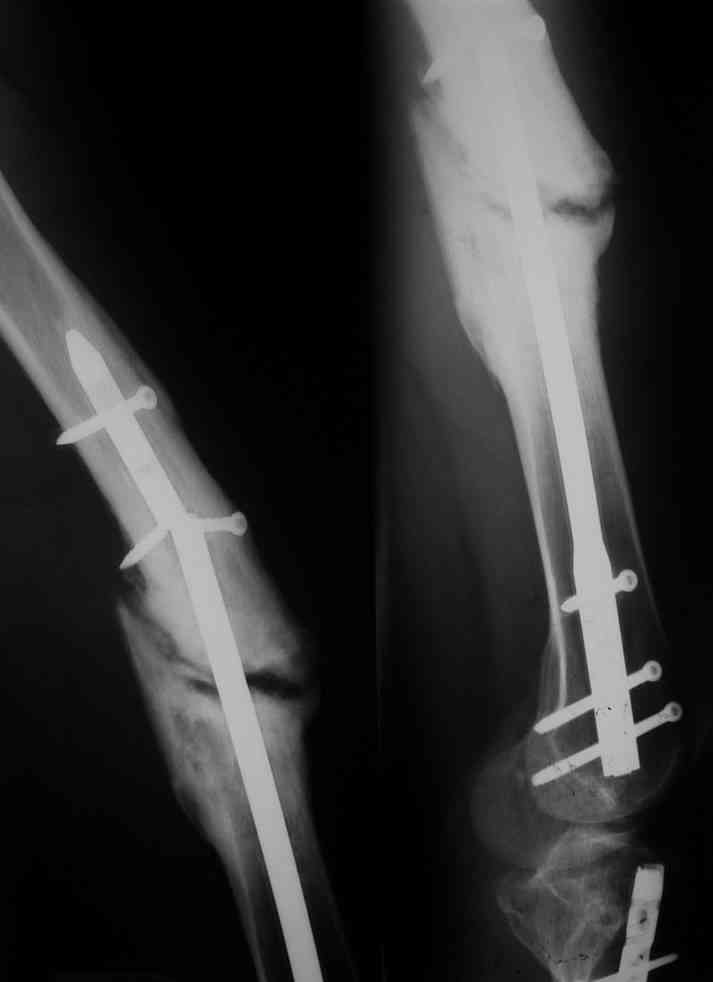
Одной рентгенограммы недостаточно, чтобы планировать подобную операцию. Вот похожий
случай, который пришлось оперировать 3 мес. назад. Тоже короткий гвоздь. Шляпки винтов
проксимального фрагмента полностью погружены в костную ткань, чего уже достаточно для
необходимости обнажения этой зоны. У этого же больного оказались полностью разрушены шлицы
2-х дистальных винтов, так что и там нужно было "открываться".
Бережной Сергей
----------- УМЕДХЭБС ЮБУФШ -----------
Вложение не в текстовом формате было извлечено…
Имя     : Рисунок1.jpg
Тип     : image/jpeg
Размер  : 13799 байтов
Описание: отсутствует
Url     : http://weborto.net:8080/pipermail/ortho/attachments/20110110/1537752c/attachment.jpg 


Подробная информация о списке рассылки Ortho