[Ortho] Необходим ли МОС обеих костей голени?

Юрий orthoforum на weborto.net
Ср Янв 19 15:57:44 YEKT 2011


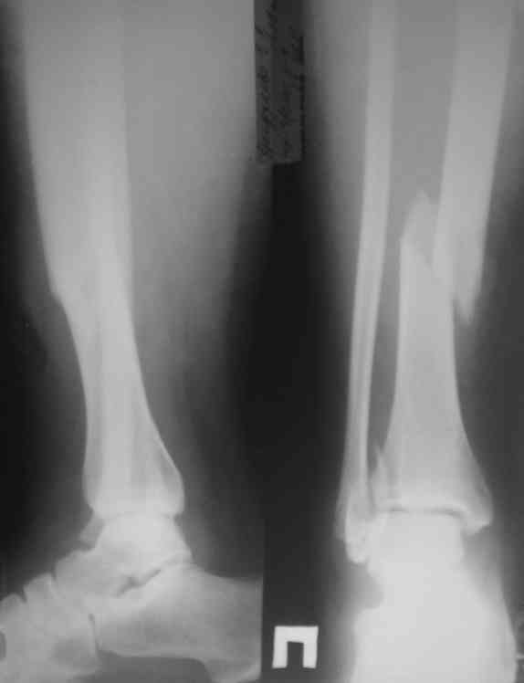
Механизм травмы - подвернул ногу. На боковом снимке видно, что латеральная лодыжка поломана на уровне голеностопного сустава. Во время травмы, кроме воздействия крутящего момента на кости голени, происходило еще и  стремительное движение тела больного вниз вместе с проксимальным отломком малоберцовой кости (сила земного притяжения), вследствие чего разрывается межкостная мембрана, передняя межберцовая связка (lig.tibiofibulare anterius), рудиментарная поперечная связка. На боковом снимке конец проксимального отломка ( в данном случае место прикрепления передней межберцовой связки) находится на уровне середины таранной кости. Соответсвенно, последняя разорвана. Смещение отломков костей голени по длине - около 2 см. 
Соответственно, из составляющих ДМС осталась целой
лишь задняя межберцовая связка. Хирургу, который будет оперировать пациента, рекомендовано  наложить шов передней межберцовой связки, и ввести позиционный винт выше ДМС.
Юрий

----------- УМЕДХЭБС ЮБУФШ -----------
Вложение не в текстовом формате было извлечено…
Имя     : 1.jpg
Тип     : image/jpeg
Размер  : 11567 байтов
Описание: отсутствует
Url     : http://weborto.net:8080/pipermail/ortho/attachments/20110119/6cd42e46/attachment-0002.jpg 
----------- УМЕДХЭБС ЮБУФШ -----------
Вложение не в текстовом формате было извлечено…
Имя     : Зображення0481.jpg
Тип     : image/jpeg
Размер  : 6935 байтов
Описание: отсутствует
Url     : http://weborto.net:8080/pipermail/ortho/attachments/20110119/6cd42e46/attachment-0003.jpg 


Подробная информация о списке рассылки Ortho