[Ortho] Гигантоклеточная опухоль бедренной кости

Абдурашид orthoforum на weborto.net
Сб Янв 29 00:42:22 YEKT 2011


Уважаемые коллеги! Добрый вечер!
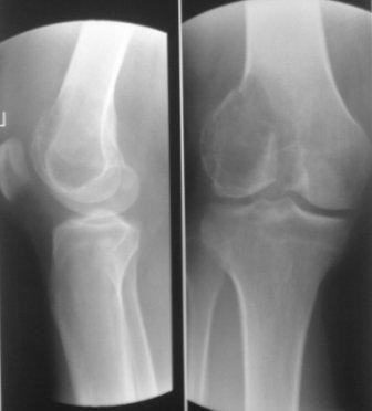
Обратился мужчина 32 лет с жалобами на боли в обл. внутреннего мышелка левого бедра. Боли беспокоят около шести месяцев, лечился дома всякими мазями и т.д. 2 неделя назад упал , и после этого боли с каждым днем усиливаются. Местно определяется резкая болезненность в обл. мышелка бедра, явление не выраженного синовита, ограничение движения в коленном суставе, мягкотканый компонент опухоли не определяется, лимфоузлы не увеличены,Р-скопия легких без патологии,клинико-биохимические анализы в пределах нормы. Гистология- гигантоклеточная опухоль.
        
Направил в онкологический центр, рекомендовали резекцию и ревизионное эндопротезирование коленного сустава, от которого больной отказался и опять вернулся к нам, временно фиксировали гипсовой повязкой.
Уважаемые коллеги можно ли помочь больному, т.к. на практике были, что после перелома опухоль рассосалась и переломы срослись! Или может быть аутопластика и фиксация перелома?
С уважением Абдурашид.
----------- УМЕДХЭБС ЮБУФШ -----------
Вложение не в текстовом формате было извлечено…
Имя     : 64.jpg
Тип     : image/jpeg
Размер  : 10474 байтов
Описание: отсутствует
Url     : http://weborto.net:8080/pipermail/ortho/attachments/20110129/ac559021/attachment-0002.jpg 
----------- УМЕДХЭБС ЮБУФШ -----------
Вложение не в текстовом формате было извлечено…
Имя     : 66.jpg
Тип     : image/jpeg
Размер  : 35025 байтов
Описание: отсутствует
Url     : http://weborto.net:8080/pipermail/ortho/attachments/20110129/ac559021/attachment-0003.jpg 


Подробная информация о списке рассылки Ortho