[Ortho] нестабильность голеностопного сустава

SergeyT orthoforum на weborto.net
Сб Янв 29 21:38:04 YEKT 2011


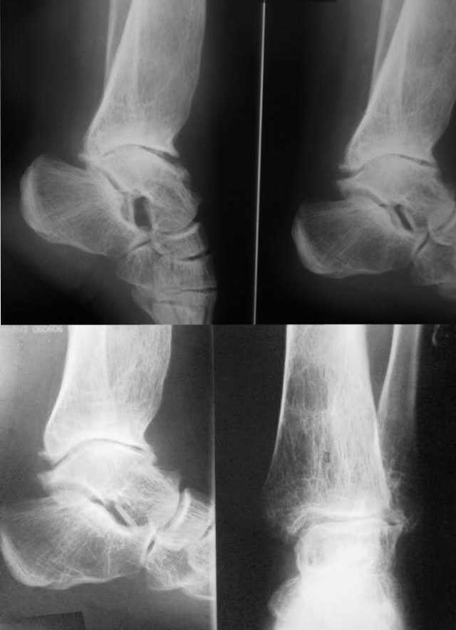
Посттравматическая наружная нестабильность голеностопного сустава у пациентки 30 лет.

Боли не беспокоят. От артродеза отказывается. Боится ограничения движений и хромоты. 
Как предотвратить наружный подвывих стопы? Может быть  кто-то может предложить свою помощь?  
SergeyT
----------- УМЕДХЭБС ЮБУФШ -----------
Вложение не в текстовом формате было извлечено…
Имя     : 221jpg.jpg
Тип     : image/jpeg
Размер  : 36569 байтов
Описание: отсутствует
Url     : http://weborto.net:8080/pipermail/ortho/attachments/20110129/0bc6c3a5/attachment-0001.jpg 


Подробная информация о списке рассылки Ortho