[Ortho] Осложнение после эндопротезирования. Металоз или инфекция?

Виноградский Александр orthoforum на weborto.net
Вс Янв 30 18:19:38 YEKT 2011


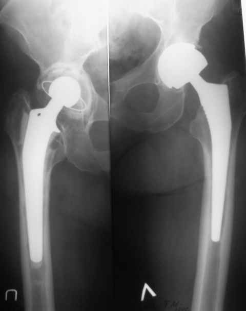
Уважаемые коллеги!Помогите определиться с тактикой лечения осложнения
после эндопротезирования т\бедренного сустава ASR

Пациентка 64 лет, оперирована 2,5 года назад. Выполнено
эндопротезирование левого т\бедренного сустава ASR-XL. Заживление
первично. 10 лет назад выполнялось цементное эндопротезирование
правого т\бедренного сустава. Ч\з год после последней операции
появились боли в области левого сустава, имели преходящий характер,
уменьшались на фоне НПВП. В дальнейшем начались аллергические проблемы
по типу стойкой крапивницы. 6 месяцев назад купированы после
плазмафереза, в настоящее время не купируются. Лечение в НИИ
дерматологии без эффекта. Посев пунктата (примерно 50 мл мутной
серозной жидкости) без роста флоры. В анализах - Le 3,8, С-реактивный
белок -24, СОЭ 25. П\операционный рубец без особенностей, температура
в норме. Боли в области сустава умеренные, но сохраняются, больше
беспокоят кожные проявления (зуд, сыпь). Планируем ревизию.
Вопросы:1)Расценивать как металлоз или скрытую инфекцию? СРБ в 4 раза выше

2)Через спейсер или одномоментно?

3)Если металлоз - оставить ли ножку?

Конечно, удалить все, спейсер, второй этап более предсказуемо, но на
второй ноге цементному протезу более 10 лет, не создаст ли увеличенная
нагрузка проблем для правого сустава?


Александр Виноградский,
ГВВ, Екатеринбург
----------- УМЕДХЭБС ЮБУФШ -----------
Вложение не в текстовом формате было извлечено…
Имя     : IMG_0681_cr.jpg
Тип     : image/jpeg
Размер  : 18192 байтов
Описание: отсутствует
Url     : http://weborto.net:8080/pipermail/ortho/attachments/20110130/93c9d470/attachment-0001.jpg 


Подробная информация о списке рассылки Ortho