[Ortho] неправильно сросшиеся перелом бедренной кости

"Шухрат" orthoforum на weborto.net
Вт Июл 5 11:21:29 YEKST 2011


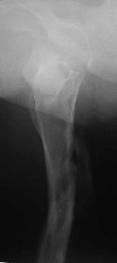
Уважаемые коллеги, доброго времени суток. Молодой парень 30 лет, в 2010г получил травму в
результате ДТП.

Лечили на скелетном вытяжени 6 нед с последующим наложением кокситной
повязки на 12 нед. От предложенного остеосинтеза пластинами воздержался( БИОС к сожалению
пока не доступен) В настоящее время ходит заметно прихрамывая, левая нижняя конечность
укорочено сравнительно на 3,0 см.Объем движений в суставах полное. Как можно помочь
больному в дальнейшем. Буду рад Вашим советам. Спасибо.
Шухрат
----------- следущая часть -----------
Вложение не в текстовом формате было извлечено…
Имя     : PICT0021.JPG
Тип     : image/jpg
Размер  : 34950 байтов
Описание: отсутствует
Url     : http://weborto.net:8080/pipermail/ortho/attachments/20110705/92258606/attachment-0002.jpg 
----------- следущая часть -----------
Вложение не в текстовом формате было извлечено…
Имя     : PICT0020.JPG
Тип     : image/jpg
Размер  : 19196 байтов
Описание: отсутствует
Url     : http://weborto.net:8080/pipermail/ortho/attachments/20110705/92258606/attachment-0003.jpg 


Подробная информация о списке рассылки Ortho