[Ortho] Несращение шейки бедра

Alexander Chelnokov orthoforum на weborto.net
Вт Июл 5 23:53:23 YEKST 2011


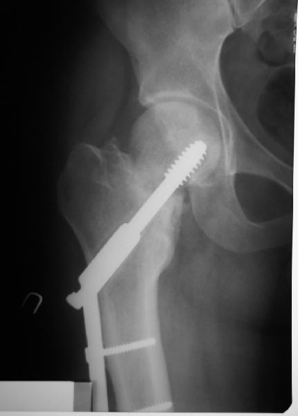
Пациент 20 лет  по поводу перелома шейки бедра оперирован в соседнем регионе 9 мес. назад.

На сегодня такая картина. Ходит с тростью, боли практически нет. Направили для эндопротезирования. У нас намерения больше в сторону вальгизируюещей остеотомии. То ли потом фиксировать как есть, то ли на уровне несращения шейки что-то подправить. Какие будут предложения?

Alexander Chelnokov
----------- следущая часть -----------
Вложение не в текстовом формате было извлечено…
Имя     : get_image.jpg
Тип     : image/jpg
Размер  : 16522 байтов
Описание: отсутствует
Url     : http://weborto.net:8080/pipermail/ortho/attachments/20110705/51e33f08/attachment-0002.jpg 
----------- следущая часть -----------
Вложение не в текстовом формате было извлечено…
Имя     : get_image2.jpg
Тип     : image/jpg
Размер  : 12935 байтов
Описание: отсутствует
Url     : http://weborto.net:8080/pipermail/ortho/attachments/20110705/51e33f08/attachment-0003.jpg 
----------- следущая часть -----------




Подробная информация о списке рассылки Ortho