[Ortho] Вывих правого плеча после остеосинтеза пеерлома проксимального отдела плечевой кости пластиной

Djoldas Kuldjanov orthoforum на weborto.net
Сб Июн 11 11:49:38 YEKST 2011


Немного причин, приводящих к вывихам после фиксации переломов проксимального плеча. В результате несоответствия суставной поверхности лопатки и головки плеча из-за потери кости по задней поверхности головки плеча или в задней половине суставной впадины. Или в результате отсутствия мягкотканого покрытия, к которому  можно отнести разрывы манжетки или суставной капсулы. А также когда повреждается нерв.

При вывихе плеча редко повреждается лучевой, серединный или локтевой нервы, и поэтому нормальная неврологическая функция на периферии конечности еще не доказательство интактного неврологического статуса. Но повреждения аксиллярного нерва встречаются очень часто, например, во время травмы или ятрогенное - во время неосторожных хирургических манипуляций. Отсутствие чувствительности над дельтовидной мышцой и атрофия покажет повреждение аксиллярного нерва. Потеря функции дельтовидной мышцы приводит к вывиху сустава вниз. Или повреждение n.subspinatus приводит к дисфункцию мышцы, в результате манжетка не может удержать головку.

При представлении случая на любой разбор, в том числе на ОртоФорум желательно выставить краткий анамнез травмы, возраст и вес. В выборе тактики лечения доминирующая рука, а также профессия играют важную роль. Особое внимание на профессию обращают также при оценке на инвалидность.

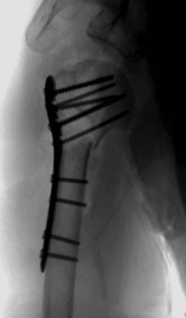
Набор мелких снимков не отражает истинную картину суставной поверхности лопатки, а также качество репозиции головки плеча. Необходимо доказать аксиальным снимком наличие покрытия головки. Правильная маркировка на рентген снимках и соответствие с выставленным диагнозом гарантирует от ошибок со стороной во время операции!

Желательно добавить клинические снимки плеча, которые покажут хирургическую доступ и состояние дельтовидной мышцы (атрофию).

Для оценки мягкотканого покрытия и положения костных отломков, а также для изучения неврологического статуса необходимо дообследовать современными методами. Например из КТ (3D) трехмерное более информативное. МРТ и электромиография дополнит понимание ситуации и облегчит принятие правильного решения.

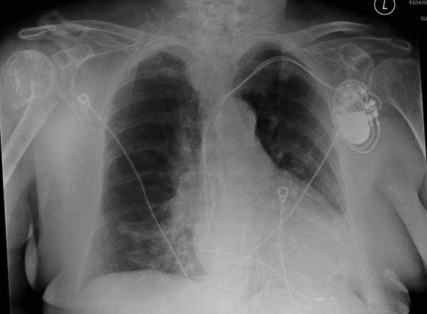
Здесь результат похожего случая, больная 87 лет, отягощенная сердечными делами и два года назад установка pacemaker и нескольких стентов. На третий день, сегодня утром сделали операцию. Послеоперационный псевдовывих связанный с релаксацией мышц и общим обезболиванием.

Djoldas Kuldjanov, M.D.
Associate Professor
Department of Orthopedic Surgery
St. Louis University
----------- следущая часть -----------
Вложение не в текстовом формате было извлечено…
Имя     : humerus fx injury axial.jpg
Тип     : image/jpg
Размер  : 14321 байтов
Описание: отсутствует
Url     : http://weborto.net:8080/pipermail/ortho/attachments/20110611/5927b955/attachment-0005.jpg 
----------- следущая часть -----------
Вложение не в текстовом формате было извлечено…
Имя     : humerus fx injury pacemaker.jpg
Тип     : image/jpg
Размер  : 27737 байтов
Описание: отсутствует
Url     : http://weborto.net:8080/pipermail/ortho/attachments/20110611/5927b955/attachment-0006.jpg 
----------- следущая часть -----------
Вложение не в текстовом формате было извлечено…
Имя     : humerus fx injury.JPG
Тип     : image/jpg
Размер  : 24112 байтов
Описание: отсутствует
Url     : http://weborto.net:8080/pipermail/ortho/attachments/20110611/5927b955/attachment-0007.jpg 
----------- следущая часть -----------
Вложение не в текстовом формате было извлечено…
Имя     : humerus orif ap.jpg
Тип     : image/jpg
Размер  : 23835 байтов
Описание: отсутствует
Url     : http://weborto.net:8080/pipermail/ortho/attachments/20110611/5927b955/attachment-0008.jpg 
----------- следущая часть -----------
Вложение не в текстовом формате было извлечено…
Имя     : humerus orif axial.jpg
Тип     : image/jpg
Размер  : 16257 байтов
Описание: отсутствует
Url     : http://weborto.net:8080/pipermail/ortho/attachments/20110611/5927b955/attachment-0009.jpg 


Подробная информация о списке рассылки Ortho