[Ortho] Не простой случай с бедрами.

"Миронов Андрей" orthoforum на weborto.net
Пн Июн 13 21:10:41 YEKST 2011


На лечении находится пациент с тяжелой сочетанной травмой. На сегодняшний день встал вопрос о тактике лечения переломов бедер( по месту жительства бедрами не занимались).			
							
Пациенту 22 года. Травма в июле 2010г, лечился в районной больнице. К нам попал в апреле 2011г.Тяжелая сочетанная травма (29.07.2010): тупая травма живота с повреждением внутренних органов. Закрытая травма грудной клетки с переломом ребер. Пневмоторакс справа. Тяжёлая позвоночно-спинномозговая травма. Закрытый осложнённый переломо-вывих С5 позвонка. Верхний парапарез, нижняя параплегия, нарушение функции тазовых органов по типу недержания. Цекостома. Пролежень левой ягодичной области. Неправильно консолидированные переломы верхних третей обеих бедер. Застарелый вывих левого бедра.Осложнение: Поддиафрагамльный абсесс слева, забрюшинного пространства. Свищ желудка и ободочной кишки. Синегнойный сепсис. Двухстороняя пневмония. Но это уже анамнез.Пациент был неоднократно оперирован на органах брюшной полости и осложнениями с ними связанными. 
И с таким букетом переведен к нам.
04.05.11 выполнена операция Ламинэктомия С5, С6 позвонков.Резекция тел С5, С6 позвонков. Спондилодез С4-7 имплантатом из пористого никелида титана + передняя фиксирующая пластина.Действующая цекостома. Закрывать цекостому пока хирурги не будут(учитывая предшествующие проблемы с животом)

В настоящее время состояние больного удовлетворительное, по анализам компенсирован, не температурит.

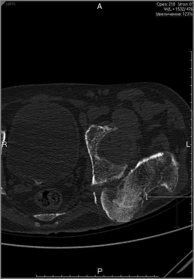
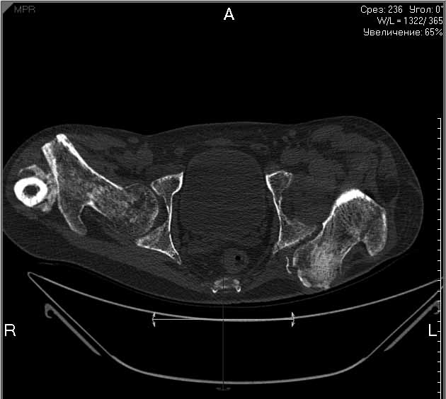
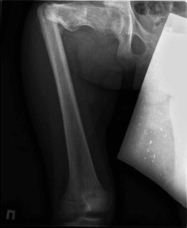
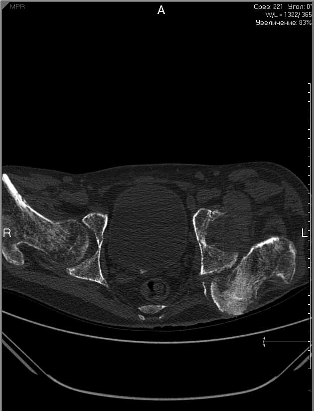
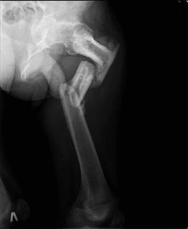
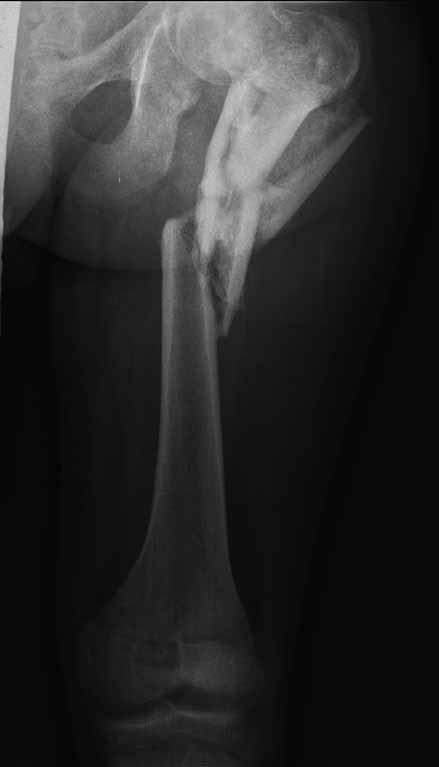
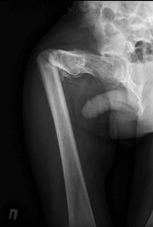
В ягодичной области слева глубокий пролежень размером 2х2см, дном является вывихнутая головка бедра. Неврологически в нижних конечностях динамика положительная, появились движения в правой стопе, чувствительность в стопах.По переломам бедер: подвижности в местах переломов нет, снимки высылаю.

Уважаемые коллеги, помогите определиться с оптимальной тактикой в лечении перелома бедер. Степень оснащенности у нас достаточная (аппараты, штифты, пластины, ЭОП).

Планирую начать с правого бедра, ЧКО таза (передняя рама) с фиксацией бедра. О/клазия места перелома правого бедра и устранение грубых смещений в аппарате. окончательно можно оставить и в аппарате. Далее аппаратное устранение вывиха левого бедра.

Жду ваших комментариев , советов.Заранее спасибо. Андрей.

----------- следущая часть -----------
Вложение не в текстовом формате было извлечено…
Имя     : бабак1.jpg
Тип     : image/jpg
Размер  : 25908 байтов
Описание: отсутствует
Url     : http://weborto.net:8080/pipermail/ortho/attachments/20110613/5c292116/attachment-0008.jpg 
----------- следущая часть -----------
Вложение не в текстовом формате было извлечено…
Имя     : бабак2.jpg
Тип     : image/jpg
Размер  : 19655 байтов
Описание: отсутствует
Url     : http://weborto.net:8080/pipermail/ortho/attachments/20110613/5c292116/attachment-0009.jpg 
----------- следущая часть -----------
Вложение не в текстовом формате было извлечено…
Имя     : бабак3.jpg
Тип     : image/jpg
Размер  : 31942 байтов
Описание: отсутствует
Url     : http://weborto.net:8080/pipermail/ortho/attachments/20110613/5c292116/attachment-0010.jpg 
----------- следущая часть -----------
Вложение не в текстовом формате было извлечено…
Имя     : бабак4.jpg
Тип     : image/jpg
Размер  : 26916 байтов
Описание: отсутствует
Url     : http://weborto.net:8080/pipermail/ortho/attachments/20110613/5c292116/attachment-0011.jpg 
----------- следущая часть -----------
Вложение не в текстовом формате было извлечено…
Имя     : бабак5.jpg
Тип     : image/jpg
Размер  : 51548 байтов
Описание: отсутствует
Url     : http://weborto.net:8080/pipermail/ortho/attachments/20110613/5c292116/attachment-0012.jpg 
----------- следущая часть -----------
Вложение не в текстовом формате было извлечено…
Имя     : Бабакулов.jpg
Тип     : image/jpg
Размер  : 53028 байтов
Описание: отсутствует
Url     : http://weborto.net:8080/pipermail/ortho/attachments/20110613/5c292116/attachment-0013.jpg 
----------- следущая часть -----------
Вложение не в текстовом формате было извлечено…
Имя     : Бабакулов1.jpg
Тип     : image/jpg
Размер  : 50751 байтов
Описание: отсутствует
Url     : http://weborto.net:8080/pipermail/ortho/attachments/20110613/5c292116/attachment-0014.jpg 
----------- следущая часть -----------
Вложение не в текстовом формате было извлечено…
Имя     : Бабакулов2.jpg
Тип     : image/jpg
Размер  : 46064 байтов
Описание: отсутствует
Url     : http://weborto.net:8080/pipermail/ortho/attachments/20110613/5c292116/attachment-0015.jpg 


Подробная информация о списке рассылки Ortho