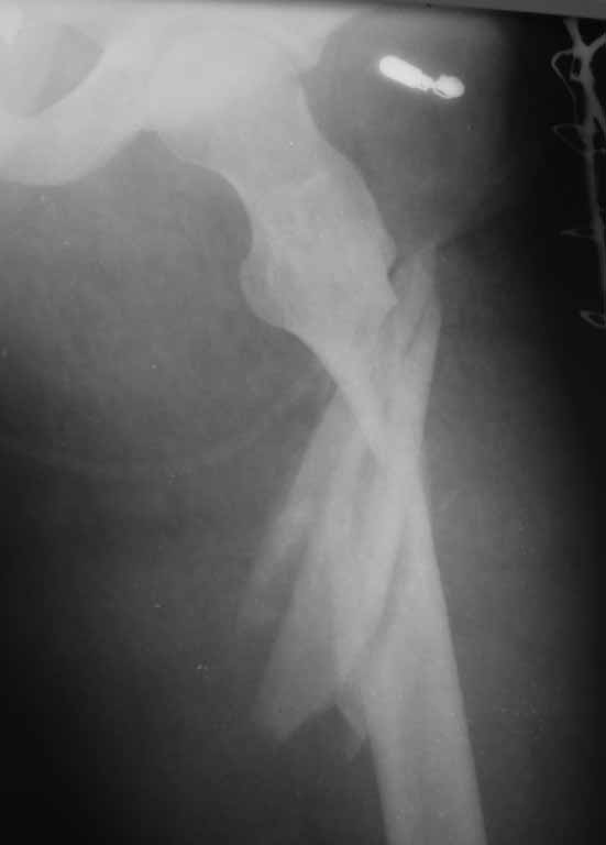
[Ortho] подвертельный перелом - тактика лечения?

"юКЕЙЯЕИ" orthoforum на weborto.net
Вт Июн 14 15:39:14 YEKST 2011


Уважаемые коллеги!!!	

Ваши предложения по тактике лечения, планируется закрытая репозиция, ИМОС AFN, кто встречался с подобным, какие могут быть сложности интраоперационно

----------- следущая часть -----------
Вложение не в текстовом формате было извлечено…
Имя     : DSC07713.jpg
Тип     : image/jpg
Размер  : 20116 байтов
Описание: отсутствует
Url     : http://weborto.net:8080/pipermail/ortho/attachments/20110614/04d44850/attachment-0001.jpg 


Подробная информация о списке рассылки Ortho