[Ortho] ( )

sergdoctor mail.ru
16 12:27:29 YEKST 2011


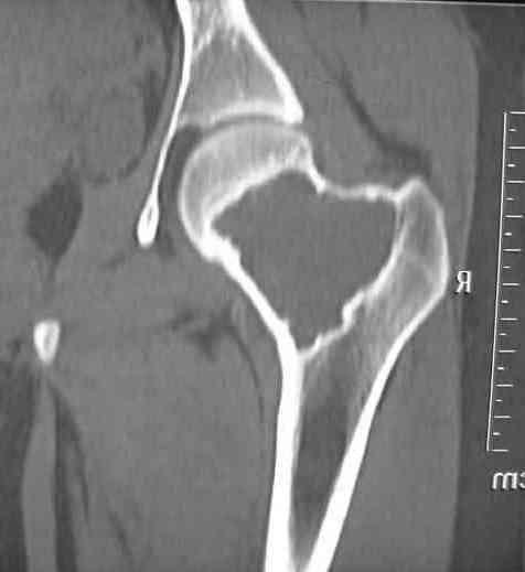
Больная Л.,   23 года. 
Из анамнеза:со слов больной в 2006 г. появились боли правой н/конечности, обратилась поместу жительства к хирургу, было выполнена МРТ поясничного отдела позвоночника,назначено физиолечение. Через 2 месяца боли прекратились, через 4 месяца рецидивболевого синдрома. С 2006 – 2010 проводилось консервативное лечение по поводуостеохондроза поясничного отдела позвоночника. В октябре 2010 г. боли усилились.Выполнены Ro и КТправого тазобедренного сустава, выявлен очаг патологической перестройки. Быланаправлена на консультацию в УНИИТО.  
В УНИИТО виюне 2011 г. поставлен дифференциальный диагноз между фибромой, солитарной костнойкистой и гигантоклеточной опухолью. 

Наши предложение по выборулечения: 
1)     эндопротезирование тазобедренного сустава; 
2)      при выявлении ОБК – заполнение полости костным цементом; 
3)     в случае фибромы – заполнение полости аллокостью.  
Вариант пластикиаутокостью не подходит, т.к пациентка субтильного телосложения.  

Уважаемые коллеги, прошу высказатьВаше мнение. 
С уважением,С. Елфимов


--
Новая мобильная версия @Mail.Ru.
Все возможности в твоем мобильном - m.mail.ru
-----------   -----------
Вложение в формате HTML было извлечено…
URL: http://weborto.net:8080/pipermail/ortho/attachments/20110616/096b312a/attachment-0001.htm 
-----------   -----------
Вложение не в текстовом формате было извлечено…
Имя     : отсутствует
Тип     : image/jpeg
Размер  : 33040 байтов
Описание: отсутствует
Url     : http://weborto.net:8080/pipermail/ortho/attachments/20110616/096b312a/attachment-0004.jpeg 
-----------   -----------
Вложение не в текстовом формате было извлечено…
Имя     : отсутствует
Тип     : image/jpeg
Размер  : 38649 байтов
Описание: отсутствует
Url     : http://weborto.net:8080/pipermail/ortho/attachments/20110616/096b312a/attachment-0005.jpeg 
-----------   -----------
Вложение не в текстовом формате было извлечено…
Имя     : отсутствует
Тип     : image/jpeg
Размер  : 26709 байтов
Описание: отсутствует
Url     : http://weborto.net:8080/pipermail/ortho/attachments/20110616/096b312a/attachment-0006.jpeg 
-----------   -----------
Вложение не в текстовом формате было извлечено…
Имя     : отсутствует
Тип     : image/jpeg
Размер  : 22951 байтов
Описание: отсутствует
Url     : http://weborto.net:8080/pipermail/ortho/attachments/20110616/096b312a/attachment-0007.jpeg 


Ortho