[Ortho] Дефартроз первого плюснефалангового сочленения.

"Сергей Дукер" orthoforum на weborto.net
Пн Июн 20 17:32:33 YEKST 2011


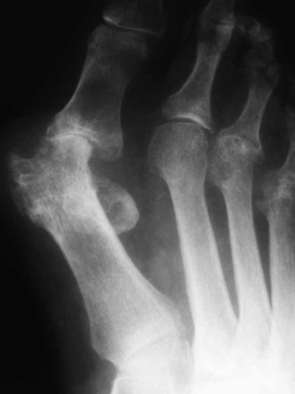
55 лет. Ревматоидный полиартрит.Артродез или протез ПФС?


Сергей Дукер
----------- следущая часть -----------
Вложение не в текстовом формате было извлечено…
Имя     : 00091.jpg
Тип     : image/jpg
Размер  : 26320 байтов
Описание: отсутствует
Url     : http://weborto.net:8080/pipermail/ortho/attachments/20110620/328517be/attachment-0001.jpg 


Подробная информация о списке рассылки Ortho