[Ortho] Застарелый вывих головки плечевой кости

"Молодцов Максим" orthoforum на weborto.net
Вт Июн 28 23:22:50 YEKST 2011


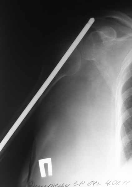
Доброго времени суток уважаемые коллеги.Представляю вашему вниманию пациентку 54 лет.Из
анамнеза: травма в сентябре 2010 года в результате падения. В ЦРБ по м/ж выполнена открытая
репозиция, синтез штифтом Кюнчера и проволочным серкляжами. Рана заживала первично.

Такая исходная длинна штифта разъяснена пациентке как "непринципиальный" момент в общем
процессе лечения. Гипсовая иммобилизация 2 месяца. По снятию гипсовой повязки пациентка
отметила резкое снижение объема движений в плечевом суставе. Активное длительное ЛФК без
эффекта.

Спустя 6 месяцев после операции пациентка госпитализирована к нам в клинику. После
выполнения контрольных рентгенограмм помимо атрофичного ложного сустава н\3 плечевой
кости был диагностирован нижний вывих головки плечевой кости. 

Первым этапом выполнено удаление металлоконструкции и БИОС плечевой кости с костной аутопластикой плечевой кости.

Послеоперационный период без особенностей. Пациентка получила полный курс
электромиостимуляции. Сегодня пациентка поступила на этапное лечение. Жалобы на
ограничение объема движений в плечевом суставе. Болевой синдром умеренный. 

Прошу совета в дальнейшей тактике лечения застарелого вывиха плечевой кости. 

Есть мысль выполнить первым этапом артроскопический артролиз плечевого сустава и дня через 3-4 по купированию отека мягких тканей выполнить подвеску головки плечевой кости к акромиону аутотканями (сухожилием, лентой из широкой фасции бедра и т.д.) Буду признателен за советы и мнения.


Молодцов Максим
----------- следущая часть -----------
Вложение не в текстовом формате было извлечено…
Имя     : IMG_0157.jpg
Тип     : image/jpg
Размер  : 21627 байтов
Описание: отсутствует
Url     : http://weborto.net:8080/pipermail/ortho/attachments/20110628/cebc4872/attachment-0001.jpg 


Подробная информация о списке рассылки Ortho