[Ortho] Врожденная деформация позвоночника

"А.В.Владзимирский" orthoforum на weborto.net
Ср Июн 29 13:09:52 YEKST 2011


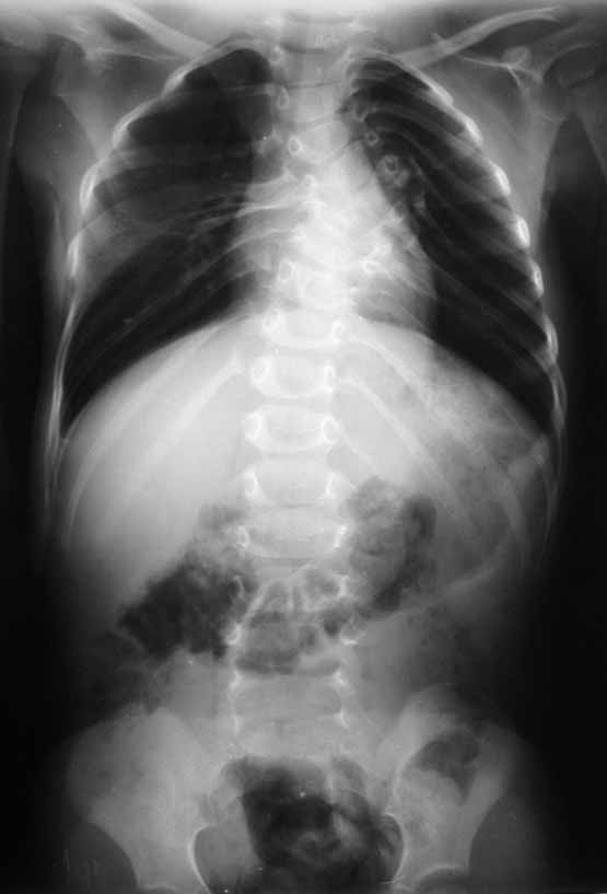
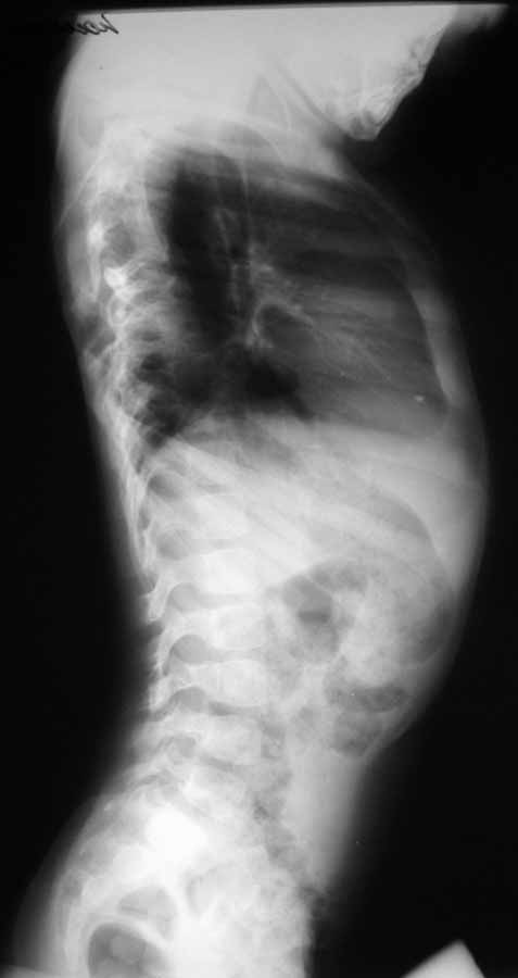
Уважаемые коллеги!Выскажите, пожалуйста, мнения о тактике лечения данной
пациентки.Девочка, 5 лет.ДЗ: Врожденный S образный сколиоз, аномалия развития
позвоночника: клиновидные 5 6 грудные позвонки, аномалия развития грудной клетки:
деформация ребер. Анамнез заболевания: Болеет с рождения, начала ходить в 1,5 года. В 5
месяцев мама отметила наличие реберного горба, который увеличивался в размерах, в 1год 10
месяцев произведена рентгенография позвоночника отмечена его деформация. Заранее
благодарю!

С уважением,А.В.Владзимирский

----------- следущая часть -----------
Вложение не в текстовом формате было извлечено…
Имя     : spine1.jpg
Тип     : image/jpg
Размер  : 32363 байтов
Описание: отсутствует
Url     : http://weborto.net:8080/pipermail/ortho/attachments/20110629/9360d8c6/attachment-0002.jpg 
----------- следущая часть -----------
Вложение не в текстовом формате было извлечено…
Имя     : spine2.JPG
Тип     : image/jpg
Размер  : 27066 байтов
Описание: отсутствует
Url     : http://weborto.net:8080/pipermail/ortho/attachments/20110629/9360d8c6/attachment-0003.jpg 


Подробная информация о списке рассылки Ortho