[Ortho] перелом луча, конфликтная ситуация [1/2]

Дедок Михаил orthoforum на weborto.net
Ср Мар 2 09:36:24 YEKT 2011


Уважаемые коллеги.Прошу обсудить случай лечения перелома дистального метаэпифиза
лучевой кости. Ситуация скандальная и крайне неблагоприятная.

 Больная с патологической обстоятельностью мышления, склонностью к
сутяжничеству, патологическими умозаключениями не поддающимися
коррекции (см. психиатрию, правда офиц. диагноза нет).


В данном случае есть ряд ошибок с нашей стороны, прежде всего в
отношении качества ведения документации (за что получил
административное взыскание, поделом мне, дураку). В
остальном- придерживались в лечении подхода классический советской школы. Так как умную
операцию сами знаете

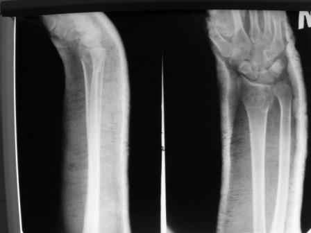
15.12- перелом луча в Москве. Там же репозиция, гипс. Дальнейшее
лечение у нас в ЦРБ. 20.12.- вторичное смещение в гипсе 

21.12- под внутривенным наркозом - репозиция, гипсовая лонгета.

Дальше начинается самое интересное. После репозиции больная
заявила, что я (репозицию делал я) порвал ей все связки в суставе, посинел у нее 5 палец, якобы я
за него тянул и т. д. На самом деле на 2 сутки после репозиции рука немного отекла и было
незначительное сдавление гипсом, который был ослаблен.


Дальнейшее лечение консервативное. Через 6 недель- гипс снят,
назначено ЛФК. Пациентка крайне недовольна. 
Говорит, что на снимке у нее выступает кость, я ей сломал руку и.т.д. В общем началось.
Пациентка прочитала в интернете наверное все, что есть по данной травме. По заключениями
рентгенологов и консультанта из КДЦ областной больницы- стояние отломков допустимое.
Объективно говоря- снижена высота лучевой кости, диастаз лучелоктевого сочленения, и не
сросся шиловидный отросток. однако на РКТ при сравнении с другой стороной- разница
незначительная.


Дальше в одной из больниц нашей области и одной из больниц Москвы (вроде бы
КГБ 53) врачи сказали, что репозиция сделана плохо. Нужна операция (восстановить длину
лучевой кости), даже один из них предложил РЕДРЕССАЦИЮ (хи-хи) с наложением аппарата
Илизарова. Что это для данной больной- радость неописанная. (см. описание психического
статуса).

Ничем другим, кроме зарабатывания дешевого авторитета объяснить данный факт не
могу. Кстати, у больной еще нейропатия локтевого нерва. Для разрешения конфликта больная
направлена на консультацию в ЦИТО на 03.03.11.

Теперь вопросы:

1.Прошу объективно оценить качество нашей репозиции на момент 21.12. (неужели так плохо?).
Что на снимках при снятии гипса- сам вижу.

2. сравнить снимки РКТ (с двух сторон)- так ли велико укорочение лучевой
кости и лучелоктевой диастаз.

3. Ваши мнения, в отношении целесообразности оперативного лечения учитывая ВСЕ вышеизложенное.

4. На всякий случай для суда- мог ли я тракцией в 2- 3 кг за 1 и 2
пальцы под внутривенным наркозом неправильно вколотить отломки и травмировать 
локтевой нерв.

Кстати, в США если врач пациенту говорит, что его плохо лечили- то этого врача
лишают лицензии. У нас наооборот- обгадить другого милое дело. И это процветает. От себя же
могу сказать, что никто в нашем отделении так не поступает. Коллеги, будьте осторожны в своих
высказываниях. От осложнений и ошибок никто не застрахован.

А в данном случае многое будет зависеть от заключения консультантов
поликлиники ЦИТО, куда больная направлена областным травматологом на
03.03 для решения вопроса о дальнейшей тактики лечения.

С уважением ко всему травматологическому сообществу Дедок Михаил.

----------- УМЕДХЭБС ЮБУФШ -----------
Вложение не в текстовом формате было извлечено…
Имя     : 6.JPG
Тип     : image/jpeg
Размер  : 57046 байтов
Описание: отсутствует
Url     : http://weborto.net:8080/pipermail/ortho/attachments/20110302/bec3b4e3/attachment-0006.jpeg 
----------- УМЕДХЭБС ЮБУФШ -----------
Вложение не в текстовом формате было извлечено…
Имя     : 1.JPG
Тип     : image/jpeg
Размер  : 54334 байтов
Описание: отсутствует
Url     : http://weborto.net:8080/pipermail/ortho/attachments/20110302/bec3b4e3/attachment-0007.jpeg 
----------- УМЕДХЭБС ЮБУФШ -----------
Вложение не в текстовом формате было извлечено…
Имя     : 2.JPG
Тип     : image/jpeg
Размер  : 54875 байтов
Описание: отсутствует
Url     : http://weborto.net:8080/pipermail/ortho/attachments/20110302/bec3b4e3/attachment-0008.jpeg 
----------- УМЕДХЭБС ЮБУФШ -----------
Вложение не в текстовом формате было извлечено…
Имя     : 3.JPG
Тип     : image/jpeg
Размер  : 57821 байтов
Описание: отсутствует
Url     : http://weborto.net:8080/pipermail/ortho/attachments/20110302/bec3b4e3/attachment-0009.jpeg 
----------- УМЕДХЭБС ЮБУФШ -----------
Вложение не в текстовом формате было извлечено…
Имя     : 4.JPG
Тип     : image/jpeg
Размер  : 55604 байтов
Описание: отсутствует
Url     : http://weborto.net:8080/pipermail/ortho/attachments/20110302/bec3b4e3/attachment-0010.jpeg 
----------- УМЕДХЭБС ЮБУФШ -----------
Вложение не в текстовом формате было извлечено…
Имя     : 5.JPG
Тип     : image/jpeg
Размер  : 58124 байтов
Описание: отсутствует
Url     : http://weborto.net:8080/pipermail/ortho/attachments/20110302/bec3b4e3/attachment-0011.jpeg 


Подробная информация о списке рассылки Ortho