[Ortho] перелом луча, конфликтная ситуация [2/2]

Дедок Михаил orthoforum на weborto.net
Ср Мар 2 09:38:10 YEKT 2011


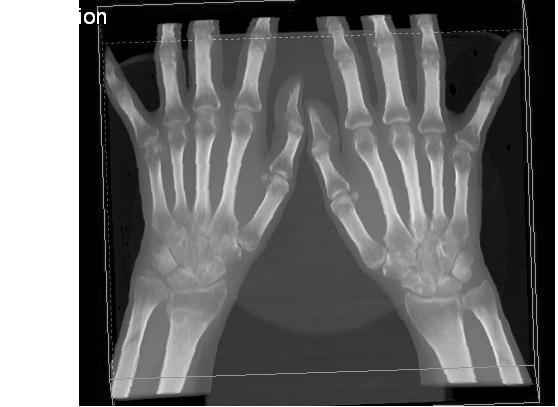
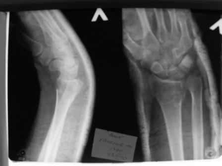
Уважаемые коллеги.

Остальные снимки

Дедок Михаил

----------- УМЕДХЭБС ЮБУФШ -----------
Вложение не в текстовом формате было извлечено…
Имя     : реконст.JPG
Тип     : image/jpeg
Размер  : 14000 байтов
Описание: отсутствует
Url     : http://weborto.net:8080/pipermail/ortho/attachments/20110302/454aa1e7/attachment-0004.jpeg 
----------- УМЕДХЭБС ЮБУФШ -----------
Вложение не в текстовом формате было извлечено…
Имя     : 9.JPG
Тип     : image/jpeg
Размер  : 56555 байтов
Описание: отсутствует
Url     : http://weborto.net:8080/pipermail/ortho/attachments/20110302/454aa1e7/attachment-0005.jpeg 
----------- УМЕДХЭБС ЮБУФШ -----------
Вложение не в текстовом формате было извлечено…
Имя     : лев лучелок сочл.jpg
Тип     : image/jpeg
Размер  : 1737 байтов
Описание: отсутствует
Url     : http://weborto.net:8080/pipermail/ortho/attachments/20110302/454aa1e7/attachment-0006.jpg 
----------- УМЕДХЭБС ЮБУФШ -----------
Вложение не в текстовом формате было извлечено…
Имя     : лев лучелокт сочленен.jpg
Тип     : image/jpeg
Размер  : 1792 байтов
Описание: отсутствует
Url     : http://weborto.net:8080/pipermail/ortho/attachments/20110302/454aa1e7/attachment-0007.jpg 
----------- УМЕДХЭБС ЮБУФШ -----------
Вложение не в текстовом формате было извлечено…
Имя     : пр0357.jpg
Тип     : image/jpeg
Размер  : 18603 байтов
Описание: отсутствует
Url     : http://weborto.net:8080/pipermail/ortho/attachments/20110302/454aa1e7/attachment-0008.jpg 
----------- УМЕДХЭБС ЮБУФШ -----------
Вложение не в текстовом формате было извлечено…
Имя     : пр0358.jpg
Тип     : image/jpeg
Размер  : 20430 байтов
Описание: отсутствует
Url     : http://weborto.net:8080/pipermail/ortho/attachments/20110302/454aa1e7/attachment-0009.jpg 
----------- УМЕДХЭБС ЮБУФШ -----------
Вложение не в текстовом формате было извлечено…
Имя     : пр лучелок сочлен 2.jpg
Тип     : image/jpeg
Размер  : 2105 байтов
Описание: отсутствует
Url     : http://weborto.net:8080/pipermail/ortho/attachments/20110302/454aa1e7/attachment-0010.jpg 
----------- УМЕДХЭБС ЮБУФШ -----------
Вложение не в текстовом формате было извлечено…
Имя     : пр лучелок сочленен.jpg
Тип     : image/jpeg
Размер  : 2158 байтов
Описание: отсутствует
Url     : http://weborto.net:8080/pipermail/ortho/attachments/20110302/454aa1e7/attachment-0011.jpg 
----------- УМЕДХЭБС ЮБУФШ -----------
Вложение не в текстовом формате было извлечено…
Имя     : 7.JPG
Тип     : image/jpeg
Размер  : 57235 байтов
Описание: отсутствует
Url     : http://weborto.net:8080/pipermail/ortho/attachments/20110302/454aa1e7/attachment-0006.jpeg 
----------- УМЕДХЭБС ЮБУФШ -----------
Вложение не в текстовом формате было извлечено…
Имя     : 8.JPG
Тип     : image/jpeg
Размер  : 58204 байтов
Описание: отсутствует
Url     : http://weborto.net:8080/pipermail/ortho/attachments/20110302/454aa1e7/attachment-0007.jpeg 


Подробная информация о списке рассылки Ortho