[Ortho] Последствия травмы стопы

Сувалян М.А. orthoforum на weborto.net
Ср Мар 9 21:02:43 YEKT 2011


Дорогие коллеги,
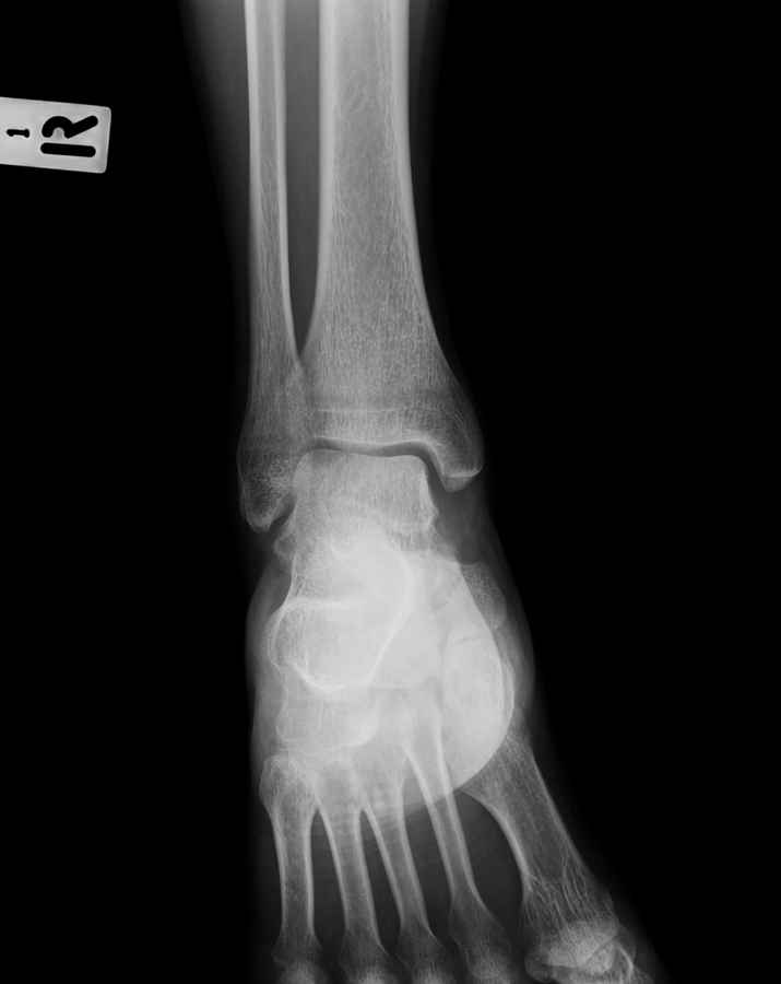
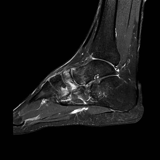
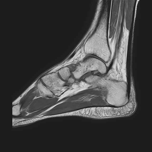
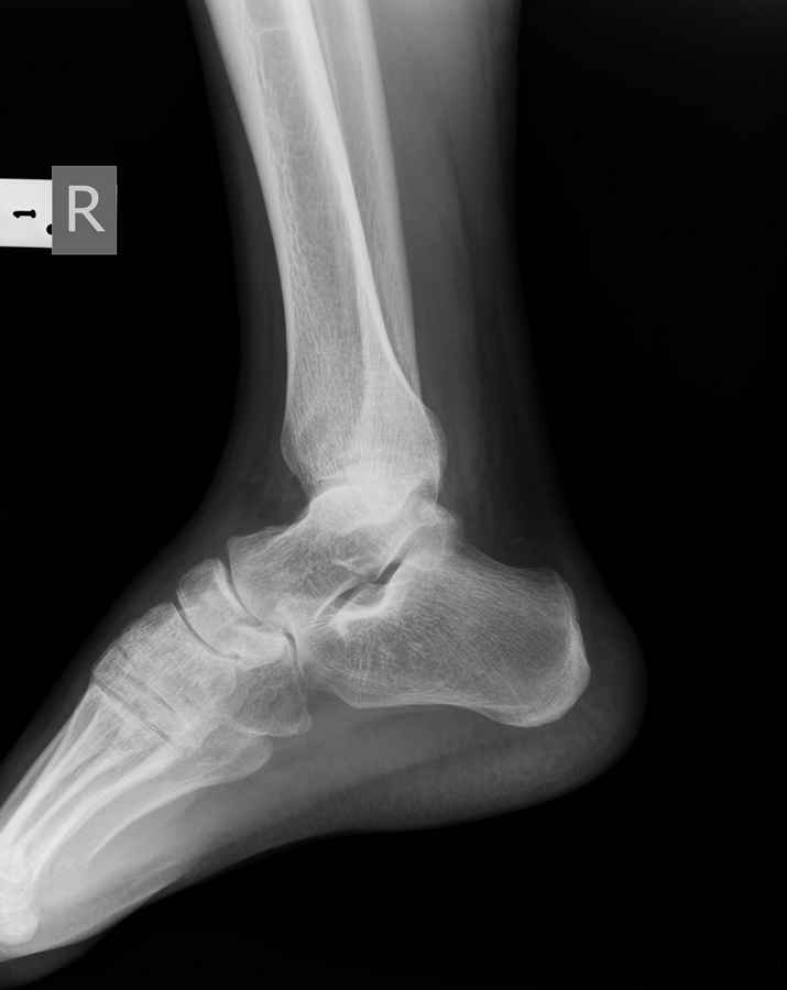
Мужчина 36 лет, пострадал около 8 месяцев назад в ДТП (водитель мотоцикла). 


Подтаранный вывих лечили гипсовой лонгетой. Недиагностированным остался перелом ладьевидной кости, который беспокоит в настоящее время. Аваскулярный некроз кости, похоже. 
Добавил наиболее значимые снимки, на мой взгляд. <br>

Что можно предложить по тактике?
Спасибо.
Сувалян М.А.

----------- УМЕДХЭБС ЮБУФШ -----------
Вложение не в текстовом формате было извлечено&hellip;
Имя     : 0511001875-20110113-MR-702-13.jpg
Тип     : image/jpeg
Размер  : 15523 байтов
Описание: отсутствует
Url     : http://weborto.net:8080/pipermail/ortho/attachments/20110309/6ac28a5a/attachment-0006.jpg 
----------- УМЕДХЭБС ЮБУФШ -----------
Вложение не в текстовом формате было извлечено&hellip;
Имя     : 0511001875-20110113-CR-1-1.jpg
Тип     : image/jpeg
Размер  : 17927 байтов
Описание: отсутствует
Url     : http://weborto.net:8080/pipermail/ortho/attachments/20110309/6ac28a5a/attachment-0007.jpg 
----------- УМЕДХЭБС ЮБУФШ -----------
Вложение не в текстовом формате было извлечено&hellip;
Имя     : 0511001875-20110113-CR-2-2.jpg
Тип     : image/jpeg
Размер  : 16934 байтов
Описание: отсутствует
Url     : http://weborto.net:8080/pipermail/ortho/attachments/20110309/6ac28a5a/attachment-0008.jpg 
----------- УМЕДХЭБС ЮБУФШ -----------
Вложение не в текстовом формате было извлечено&hellip;
Имя     : 0511001875-20110113-CR-4-4.jpg
Тип     : image/jpeg
Размер  : 16074 байтов
Описание: отсутствует
Url     : http://weborto.net:8080/pipermail/ortho/attachments/20110309/6ac28a5a/attachment-0009.jpg 
----------- УМЕДХЭБС ЮБУФШ -----------
Вложение не в текстовом формате было извлечено&hellip;
Имя     : 0511001875-20110113-MR-602-10.jpg
Тип     : image/jpeg
Размер  : 20327 байтов
Описание: отсутствует
Url     : http://weborto.net:8080/pipermail/ortho/attachments/20110309/6ac28a5a/attachment-0010.jpg 
----------- УМЕДХЭБС ЮБУФШ -----------
Вложение не в текстовом формате было извлечено&hellip;
Имя     : 0511001875-20110113-MR-602-14.jpg
Тип     : image/jpeg
Размер  : 20643 байтов
Описание: отсутствует
Url     : http://weborto.net:8080/pipermail/ortho/attachments/20110309/6ac28a5a/attachment-0011.jpg 


Подробная информация о списке рассылки Ortho