[Ortho] Чрезвертельный перелом бедра

Абдурашид orthoforum на weborto.net
Пт Мар 11 16:45:17 YEKT 2011


            Уважаемые коллеги.
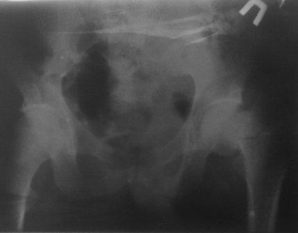
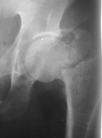
 Больной 1980г.р. после тяжелой сочетанной травмы от 03.12.10г:
спленэктомии, ушивание разрыва печени, мн.переломы ребер. 05.02.11г
операция по поводу спаечной к/непроходимости.  И чрезвертельный
перелом правого бедра, посмотрел под скопией сращения нет, при
проверке двигается только дистальный отломок, а головка как бы
припаяна к вертлуге. Укорочение ноги 5см, нога ротирована вовнутрь и
приведена, из-за боли проверить обьем движения не удается.

  В плане PFN -ChM , но может быть контрактура т/б сустава, или делать
открытым   способом (тогда большая кровопотеря, и так он
ослабленный), м/б предварительно аппарат таз-бедро или вытяжение
большим грузом.?

  DHS, blade plate кончились, имеются шеечные винты, Г-образные
 пластины ЦИТО-Бакычарова, и кое-что можно из пластин приспособливать
 по "гаражной ортопедии"
  От направлений в НИИТО отказывается.
  Как нибудь надо помочь больному.....
     С уважением  Абдурашид.

----------- УМЕДХЭБС ЮБУФШ -----------
Вложение не в текстовом формате было извлечено…
Имя     : Копия Фото0433.jpg
Тип     : image/jpeg
Размер  : 9379 байтов
Описание: отсутствует
Url     : http://weborto.net:8080/pipermail/ortho/attachments/20110311/4051d2a6/attachment-0002.jpg 
----------- УМЕДХЭБС ЮБУФШ -----------
Вложение не в текстовом формате было извлечено…
Имя     : Копия Фото0434.jpg
Тип     : image/jpeg
Размер  : 11105 байтов
Описание: отсутствует
Url     : http://weborto.net:8080/pipermail/ortho/attachments/20110311/4051d2a6/attachment-0003.jpg 


Подробная информация о списке рассылки Ortho