[Ortho] Чрезвертельный перелом бедра

Alexander Chelnokov alex61 на gmail.com
Сб Мар 12 13:39:50 YEKT 2011


Дорогой Абдурашид,

11 марта 2011 г. 16:45 пользователь Абдурашид <orthoforum на weborto.net>написал:

>  а головка как бы припаяна к вертлуге.


Вот этот момент непонятен. Без движений в тазобедренном суставе коррекция
формы проксимального отдела бедра бессмысленна, нормализация
шеечно-диафизарного угла приведет к фиксированному отведению.
Если все-таки подвижность в суставе есть (можно подвигать под рентгеном в
условиях анестезии), то мы бы постарались закрыто мобилизовать отломки
(ротационной остеоклазией), затем наложили спицевой дистрактор таз-бедро (в
свежем случае в крыло достаточно одной спицы, тут лучше 2-3). Если
подвижность хорошую не получили, то сначала дистрактор, и уже в нем
чрескожная межвертельная остеотомия.
Дистракция позволит улучшить шеечно-диафизарный угол. Фиксировать технически
проще пластиной, оптимально 130-градусной. Можно и с другим углом, только
спланируйте тщательно, как должен быть направлен шеечный элемент, чтобы не
оставить варус.
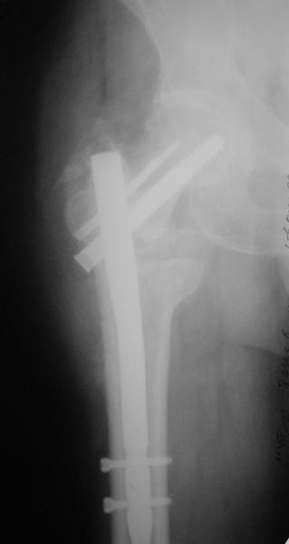
Гвоздем тоже можно, но технически труднее, надо вводить джойстики в шейку...
В приложении пример с гвоздем.


-- 
Best regards,
 Alexander N. Chelnokov
Ural Scientific Research Institute
of Traumatology and Orthopaedics
7, Bankovsky str. Ekaterinburg 620014 Russia
----------- следущая часть -----------
Вложение в формате HTML было извлечено&hellip;
URL: http://weborto.net:8080/pipermail/ortho/attachments/20110312/0162af5a/attachment-0001.htm 
----------- следущая часть -----------
Вложение не в текстовом формате было извлечено&hellip;
Имя     : get_image1.jpg
Тип     : image/jpeg
Размер  : 42631 байтов
Описание: отсутствует
Url     : http://weborto.net:8080/pipermail/ortho/attachments/20110312/0162af5a/attachment-0002.jpg 
----------- следущая часть -----------
Вложение не в текстовом формате было извлечено&hellip;
Имя     : get_image2.jpg
Тип     : image/jpeg
Размер  : 10554 байтов
Описание: отсутствует
Url     : http://weborto.net:8080/pipermail/ortho/attachments/20110312/0162af5a/attachment-0003.jpg 


Подробная информация о списке рассылки Ortho