[Ortho] Ложный сустав? после перелома типа pilon

Игорь Кучерявый harrykuch на gmail.com
Сб Мар 19 14:02:33 YEKT 2011


18 марта 2011 г. 23:42 пользователь Антон Лебединец
<ortoped1981 на mail.ru>написал:

>  Уважаемые коллеги! Интересно ваше мнение по тактике лечения данной
> пациентки.
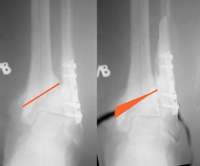
> Женщина 72 л соматически сохранная,...
>

Чем вызвана такая деформация? Если это выраженный остеопороз, то вариант
видимо только один - артродез, если это - нестабильный
остеосинтез+несоблюдение ограничения нагрузки в послеоперационном периоде -
то видимо два. )))
Что касается голеностопного сустава - сустав вполне интактен в данном случае
(ИМХО), а изменения в нем вызваны вышестоящими проблемами.
Если выбирать накостный остеосинтез LCP, можно было бы выполнить в
метаэпифизарной области остеотомию большеберцовой кости с восстановлением
оси, по возможность вернуть сустав на место и фиксировать блокированным
листом клевера. Выбор линий остеотомии неплохо бы спланировать на
компьютере, чтобы потом не было проблем с нестабильностью и нехваткой
костного материала. Для анализа и расчета операции обязательно нужны также и
старые рентгенограммы, где хорошо виден свежий перелом - это поможет понять
суть деформации.
Насчет дефекта кости. При первой операции он был вызван разрушением мягкой
спонгиозной кости при травме и сейчас не так актуален, если  не гнаться за
полным анатомическим восстановлением кости. Обычно дефект возникает не с
медиальной стороны, а в середине, а у вас при низведении сустава появится
дефект с медиальной стороны, под пластиной (на снимке).
В получившийся дефект метафиза большеберцовой - губку из таза. На
малоберцовую - длинную блокированную пластину и межберцовый винт. Что
касается длины малоберцовой - ее видимо удастся рассчитать только
интраоперационно, после того как будет низведен и фиксирован голеностоп.
 Сустав конечно будет не идеален. Но, в отличие от других методов, увидеть,
что получилось, можно будет сразу. Не выйдет хорошо - всегда в запасе
артродез.

P.S. Мне показалось, что остеосинтез малоберцовой и стержнево



-- 
С уважением,
Кучерявый Игорь,
г. Сергиев Посад.
Сайт: http://traumatolog.zagorsk.ru
E-mail: harrykuch на gmail.com
ICQ #  328 115 017 Skype: harrykuch
рабочий телефон: +7 496 542 22 00;
сотовый телефон: +7 926 575 08 55.
----------- следущая часть -----------
Вложение в формате HTML было извлечено&hellip;
URL: http://weborto.net:8080/pipermail/ortho/attachments/20110319/152191e0/attachment-0001.htm 
----------- следущая часть -----------
Вложение не в текстовом формате было извлечено&hellip;
Имя     : 1.jpg
Тип     : image/jpeg
Размер  : 51976 байтов
Описание: отсутствует
Url     : http://weborto.net:8080/pipermail/ortho/attachments/20110319/152191e0/attachment-0001.jpg 


Подробная информация о списке рассылки Ortho