[Ortho] Подвертельный перелом после МОС шейки винтами

"Машталов М.В." orthoforum на weborto.net
Сб Май 7 14:48:33 YEKST 2011


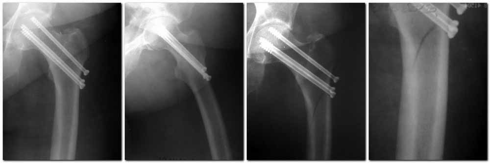
Пациентка Ш. 76 лет, 11 дней назад прооперирована по поводу вколоченного субкапитального перелома шейки левой бедренной кости, 3-мя канюлированными винтами. Вчера пациентка упала в палате. И вот результат- подимплантатный подвертельный перелом левой бедренной кости.	

Уважаемые коллеги, пожалуйста посоветуйте какой метод дальнейшего лечения предпринять дальше.Соматически пациента повышенного питания, страдает варикозной болезнью нижних конечностей.Из предложенных вариантов коллег - целллокастовая укороченная кокситная повязка, скелетное вытяжение сроком на 40-45 суток - отпали сразу, так как необходимо активизация пациентки.На данный момент рассматриваем следующие варианта реостеосинтеза:(наличие технических возможностей)
1. Длинная Gamma 3 Stryker (с предварительной интраоперационной фиксацией головки спицами).2. Трохантерный штифт DePuy с 2-мя метафизарными винтами в проксимальном отделе, (также с интраоперационной фиксацией головки спицами.
Очень настораживает стабильность фиксации с проксимальном отделе с связи с выборкой костной ткани ранее находящимися там канюлированными винтами.
Сейчас пациентка находится на скелетном вытяжении, с дисциплинирующим грузом. Операция планируется после праздников.
Заранее извиняемся за качество и неполное соответствие проекций на R-ммах (R-служба отдельная песня). При интраоперационном ЭОП-контроле винты в аксиальной проекции разнесены по шейке.

P.S.Ещё один неблагоприятный прогностический признак - пациентка является родственницей наших коллег.

Машталов М.В.
МЛПУ ГБСМП№2 1-е травм отд. г.Ростов-на-Дону

----------- гЬХФенСб оСгди -----------
Вложение не в текстовом формате было извлечено…
Имя     : neck.jpg
Тип     : image/jpg
Размер  : 27636 байтов
Описание: отсутствует
Url     : http://weborto.net:8080/pipermail/ortho/attachments/20110507/af1c70fb/attachment-0001.jpg 


Подробная информация о списке рассылки Ortho