[Ortho] Подвертельный перелом после МОС шейки винтами

Djoldas Kuldjanov orthoforum на weborto.net
Пн Май 9 14:23:45 YEKST 2011


Приходилось наблюдать расколачивание вколоченного субкапитального перелома, и для предупреждения осложнений считаем правильным решением экстренную оперативную фиксацию.

Как отметили коллеги, необходимо обратить внимание на последовательность введения каннюлированных шурупов. Рекомендуется введение в форме “V”, т.е основанием вниз, потому что в другой последовательности за счет увеличения стресса латерального кортекса имеется риск перелома. За редким исключением удается установить Guide wire с первой попытки и многоразовые пробы спицей увеличивают стресс. Небольшая травма может привести к перелому.

Работа Burstein AH and Wright TM: Fundamentals of Orthopaedic Biomechanics. Williams & Wilkins, Baltimore, pp. 160-169, 1994 доказывает, что шурупы, введенные на уровне малого вертела или ниже, приводят к осложнению. Введенные шурупы под 135 и больше градусов в 20% осложнились подвертельными переломами бедра.


У больных с ожирением и соматическими заболеваниями нежелательно открывать место перелома. Гвозди от DePuy с двумя шурупами рассчитаны для переломов бедра, и приходилось их  применить для фиксации подвертельных переломов, но более адекватную фиксацию создает Gamma 3.

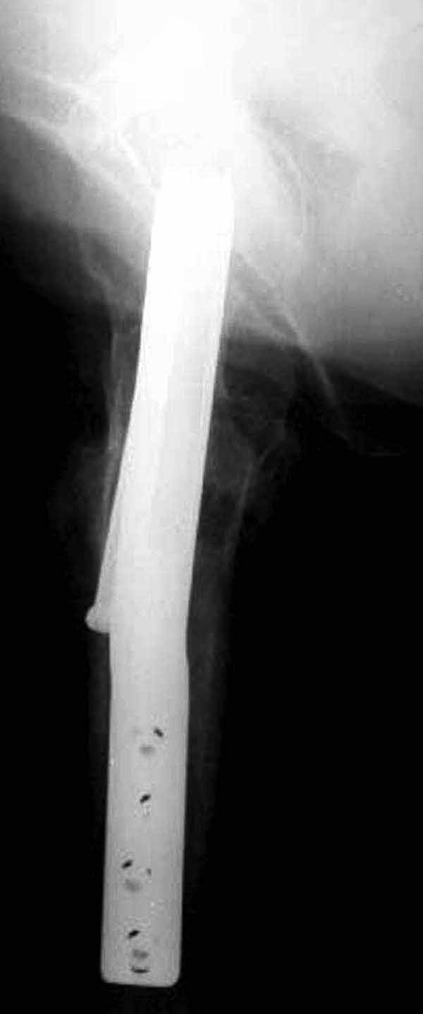
Здесь подобный случай, где стрессовый перелом обнаружен через 2 недели после фиксации. Применен Blade Plate с дополнительными шурупами.

Djoldas Kuldjanov, M.D.
Associate Professor
Department of Orthopedic Surgery
St. Louis University
----------- следущая часть -----------
Вложение не в текстовом формате было извлечено…
Имя     : 1 Stress fracture orig.jpg
Тип     : image/jpg
Размер  : 40994 байтов
Описание: отсутствует
Url     : http://weborto.net:8080/pipermail/ortho/attachments/20110509/507e3be4/attachment-0005.jpg 
----------- следущая часть -----------
Вложение не в текстовом формате было извлечено…
Имя     : 2 Stress fracture orig.jpg
Тип     : image/jpg
Размер  : 35891 байтов
Описание: отсутствует
Url     : http://weborto.net:8080/pipermail/ortho/attachments/20110509/507e3be4/attachment-0006.jpg 
----------- следущая часть -----------
Вложение не в текстовом формате было извлечено…
Имя     : 3 Stress fracture.jpg
Тип     : image/jpg
Размер  : 24564 байтов
Описание: отсутствует
Url     : http://weborto.net:8080/pipermail/ortho/attachments/20110509/507e3be4/attachment-0007.jpg 
----------- следущая часть -----------
Вложение не в текстовом формате было извлечено…
Имя     : 4 Stress fracture orig.jpg
Тип     : image/jpg
Размер  : 38616 байтов
Описание: отсутствует
Url     : http://weborto.net:8080/pipermail/ortho/attachments/20110509/507e3be4/attachment-0008.jpg 
----------- следущая часть -----------
Вложение не в текстовом формате было извлечено…
Имя     : 5 Stress fracture orig.jpg
Тип     : image/jpg
Размер  : 25958 байтов
Описание: отсутствует
Url     : http://weborto.net:8080/pipermail/ortho/attachments/20110509/507e3be4/attachment-0009.jpg 


Подробная информация о списке рассылки Ortho