[Ortho]

ortoped1981 mail.ru
12 18:08:49 YEKST 2011


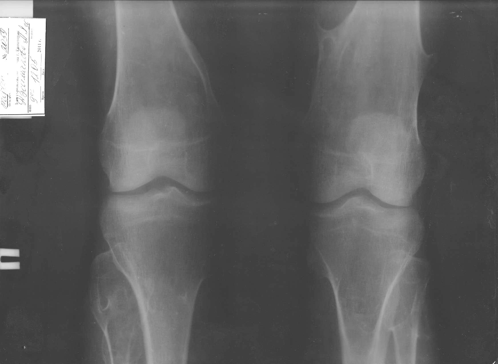
Уважаемые коллеги! Обратились за помощью ревматологи - больная 37 лет, низкого (меньше 150 см) роста, болеет несколько лет: преходящие боли в коленных суставах, суставах кистей. Ставился диагноз "ревматоидный артрит", но со слов ревматолога она не совсем на  него "клеится". На данный момент беспокоят боли в области коленных суставов, гиперестезия кожи по передне-наружной поверхности обоих бедер. Периартикулярный отек умеренный, жидкости в суставах не определяется, движения несколько ограничены. На гормонах боли уменьшаются. Сделали Р-графию - получили такую картину. 
Может кто-нибудь встречал подобное? Мысли в плане дообследования?


С уважением А. В. Л.
-----------   -----------
Вложение в формате HTML было извлечено…
URL: http://weborto.net:8080/pipermail/ortho/attachments/20110512/f292f732/attachment-0001.htm 
-----------   -----------
Вложение не в текстовом формате было извлечено…
Имя     : отсутствует
Тип     : image/jpeg
Размер  : 92944 байтов
Описание: отсутствует
Url     : http://weborto.net:8080/pipermail/ortho/attachments/20110512/f292f732/attachment-0001.jpeg 


Ortho