[Ortho] Помогите подобрать фиксатор!!!

"Евгений" orthoforum на weborto.net
Вт Май 17 00:22:24 YEKST 2011


Здравствуйте, коллеги!!! 

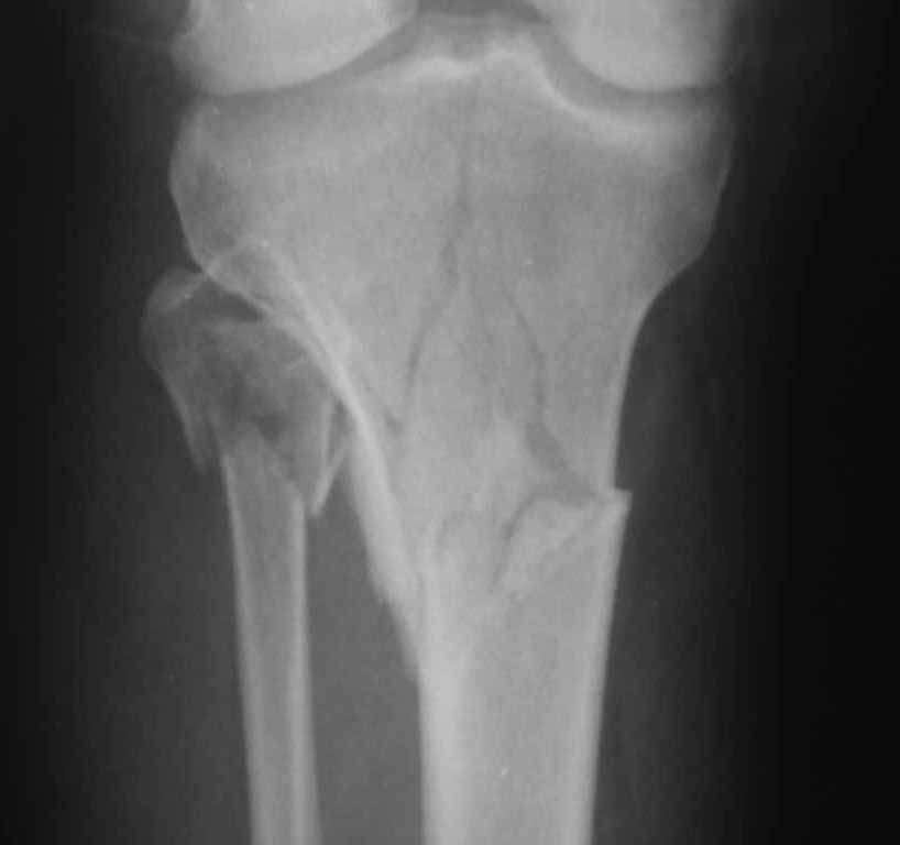
Подскажите пожалуйста, какой фиксатор подойдет для данного
перелома. Мужчина 40 лет получил закрытый внутрисуставной перелом верхней трети костей
правой голени в результате ДТП (см. рентгенограммы). Какой фиксатор подошел бы для данного
перелома понятно, однако у пациента имеется по передне-наружной поверхности верхней трети
голени ссадина и участок некроза кожных покровов (см. фото), поэтому латеральная
мыщелковая пластина не подойдет, а медиальных пластин у фирм-производителей нет. Пациент
может приобрести современный имплант, но какой….???? Слышал, что некоторые ставят,
например, левую латеральную мыщелковую пластину по медиальной поверхности правой голени –
работает ли это? Каким фиксатором и каких фирм прооперировали бы Вы??? Заранее СПАСИБО!!!
Евгений
----------- УМЕДХЭБС ЮБУФШ -----------
Вложение не в текстовом формате было извлечено…
Имя     : IMG_2011.JPG
Тип     : image/jpg
Размер  : 46641 байтов
Описание: отсутствует
Url     : http://weborto.net:8080/pipermail/ortho/attachments/20110517/484b444e/attachment-0003.jpg 
----------- УМЕДХЭБС ЮБУФШ -----------
Вложение не в текстовом формате было извлечено…
Имя     : IMG_2014.JPG
Тип     : image/jpg
Размер  : 29472 байтов
Описание: отсутствует
Url     : http://weborto.net:8080/pipermail/ortho/attachments/20110517/484b444e/attachment-0004.jpg 
----------- УМЕДХЭБС ЮБУФШ -----------
Вложение не в текстовом формате было извлечено…
Имя     : IMG_2015.JPG
Тип     : image/jpg
Размер  : 24276 байтов
Описание: отсутствует
Url     : http://weborto.net:8080/pipermail/ortho/attachments/20110517/484b444e/attachment-0005.jpg 


Подробная информация о списке рассылки Ortho