[Ortho] Сакроилеит

"Алексей Гринь" orthoforum на weborto.net
Ср Май 11 21:05:11 YEKST 2011


Уважаемые коллеги, пожалуйста выскажите свои мысли по поводу клинического случая:
пациентка 51 года страдает болями в области правого крестцово-подвздошного сочленения.
Боли отмечала и раньше, но они беспокоили не сильно, справлялась мазями, отдыхом. В течении
последних пяти лет боли выраженного характера, не зависящие от положения тела,
усиливающиеся при движениях, при резких движениях и кашле стреляющего характера, не
иррадиирую. Ходит с трудом при помощи костылей. Движения ограничены из за боязни боли.
Сиптомы натяжения отрицательны. Последние 3 года на инвалидности (была врачем).
Неоднократно проходила курсы консервативного лечения по поводу остеохондроза
позвоночника (сосудистые препараты, НПВС, всевозможные блокады,
массаж)санаторно-куротное лечение с незначительным и очень ограниченным эффектом. На
Р-граммах, КТ, МРТ остеохондроз не выраженный, грыж дисков нет. Лечилась у неврологов,
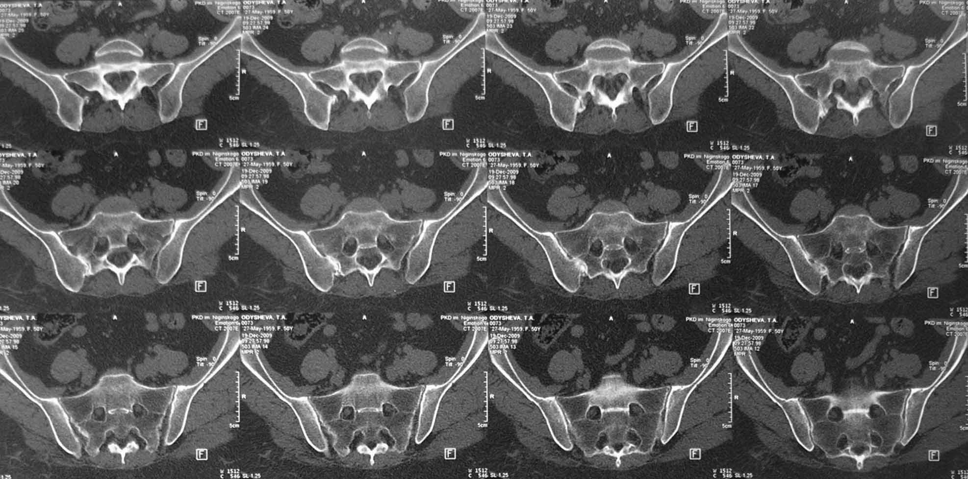
консультирована вертебролагами в разных НИИТО. В 2009г установлен диагноз - сакроилеит
справа. На представленных КТ имеется гипертрофия заднего отдела правой подвздошной кости с
образованием контакта с задней поверхностью крестца. В январе 2011 года выполнена попытка
удаления гипертрофированного участка подвздошной кости. удаленные участки кости
исследованы гистологически - губчатая кость с элементами гиалинового хряща. После
операции положительного эффекта не получено. На контрольной КТ от 04.2011 обнаружено что,
желаемого результата операции не получено(интересующий участок удален частично), при
этом имеется расслоение заднего отдела правой подвздошной кости. Сейчас клиника таже
самая, признаков воспаления внешне нет, по анализам тоже нет, туберкулеза нет и бруцеллеза
тоже нет. 

Вопросы: 

1. правильно ли нами оценена причина болей? 
2. причина расслоения кости
(интраоперационная исключена)? 
3. что делать? 

С уважением А.А.Гринь.
----------- следущая часть -----------
Вложение не в текстовом формате было извлечено…
Имя     : 04.2011.jpg
Тип     : image/jpg
Размер  : 88983 байтов
Описание: отсутствует
Url     : http://weborto.net:8080/pipermail/ortho/attachments/20110511/7c11d197/attachment-0007.jpg 
----------- следущая часть -----------
Вложение не в текстовом формате было извлечено…
Имя     : 06.2009.jpg
Тип     : image/jpg
Размер  : 22722 байтов
Описание: отсутствует
Url     : http://weborto.net:8080/pipermail/ortho/attachments/20110511/7c11d197/attachment-0008.jpg 
----------- следущая часть -----------
Вложение не в текстовом формате было извлечено…
Имя     : 11.01.10(1).jpg
Тип     : image/jpg
Размер  : 196630 байтов
Описание: отсутствует
Url     : http://weborto.net:8080/pipermail/ortho/attachments/20110511/7c11d197/attachment-0009.jpg 
----------- следущая часть -----------
Вложение не в текстовом формате было извлечено…
Имя     : 11.04.11(1).jpg
Тип     : image/jpg
Размер  : 178207 байтов
Описание: отсутствует
Url     : http://weborto.net:8080/pipermail/ortho/attachments/20110511/7c11d197/attachment-0010.jpg 
----------- следущая часть -----------
Вложение не в текстовом формате было извлечено…
Имя     : 12.2009.jpg
Тип     : image/jpg
Размер  : 173335 байтов
Описание: отсутствует
Url     : http://weborto.net:8080/pipermail/ortho/attachments/20110511/7c11d197/attachment-0011.jpg 
----------- следущая часть -----------
Вложение не в текстовом формате было извлечено…
Имя     : 19.12.09(1).jpg
Тип     : image/jpg
Размер  : 176863 байтов
Описание: отсутствует
Url     : http://weborto.net:8080/pipermail/ortho/attachments/20110511/7c11d197/attachment-0012.jpg 
----------- следущая часть -----------
Вложение не в текстовом формате было извлечено…
Имя     : 25.06.09(1).jpg
Тип     : image/jpg
Размер  : 134068 байтов
Описание: отсутствует
Url     : http://weborto.net:8080/pipermail/ortho/attachments/20110511/7c11d197/attachment-0013.jpg 


Подробная информация о списке рассылки Ortho