[Ortho] Помогите подобрать фиксатор!!!

Djoldas Kuldjanov orthoforum на weborto.net
Пт Май 20 08:14:50 YEKST 2011


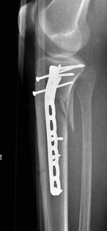
В приложении этапы фиксации пластиной Synthes для плеча при переломе медиального мыщелка.


Djoldas Kuldjanov, M.D.
Associate Professor
Department of Orthopedic Surgery
St. Louis University
----------- следущая часть -----------
Вложение не в текстовом формате было извлечено…
Имя     : 1 medial column tibial plateau.JPG
Тип     : image/jpg
Размер  : 27887 байтов
Описание: отсутствует
Url     : http://weborto.net:8080/pipermail/ortho/attachments/20110520/444ec18c/attachment-0017.jpg 
----------- следущая часть -----------
Вложение не в текстовом формате было извлечено…
Имя     : 2 medial column tibial plateau.JPG
Тип     : image/jpg
Размер  : 21737 байтов
Описание: отсутствует
Url     : http://weborto.net:8080/pipermail/ortho/attachments/20110520/444ec18c/attachment-0018.jpg 
----------- следущая часть -----------
Вложение не в текстовом формате было извлечено…
Имя     : 4 medial column tibial plateau.JPG
Тип     : image/jpg
Размер  : 30856 байтов
Описание: отсутствует
Url     : http://weborto.net:8080/pipermail/ortho/attachments/20110520/444ec18c/attachment-0019.jpg 
----------- следущая часть -----------
Вложение не в текстовом формате было извлечено…
Имя     : 7 medial column tibial plateau.JPG
Тип     : image/jpg
Размер  : 31212 байтов
Описание: отсутствует
Url     : http://weborto.net:8080/pipermail/ortho/attachments/20110520/444ec18c/attachment-0020.jpg 
----------- следущая часть -----------
Вложение не в текстовом формате было извлечено…
Имя     : 8 medial column tibial plateau.JPG
Тип     : image/jpg
Размер  : 34499 байтов
Описание: отсутствует
Url     : http://weborto.net:8080/pipermail/ortho/attachments/20110520/444ec18c/attachment-0021.jpg 


Подробная информация о списке рассылки Ortho