[Ortho] Лодыжки

oleg orthoforum на weborto.net
Вт Май 24 17:28:39 YEKST 2011


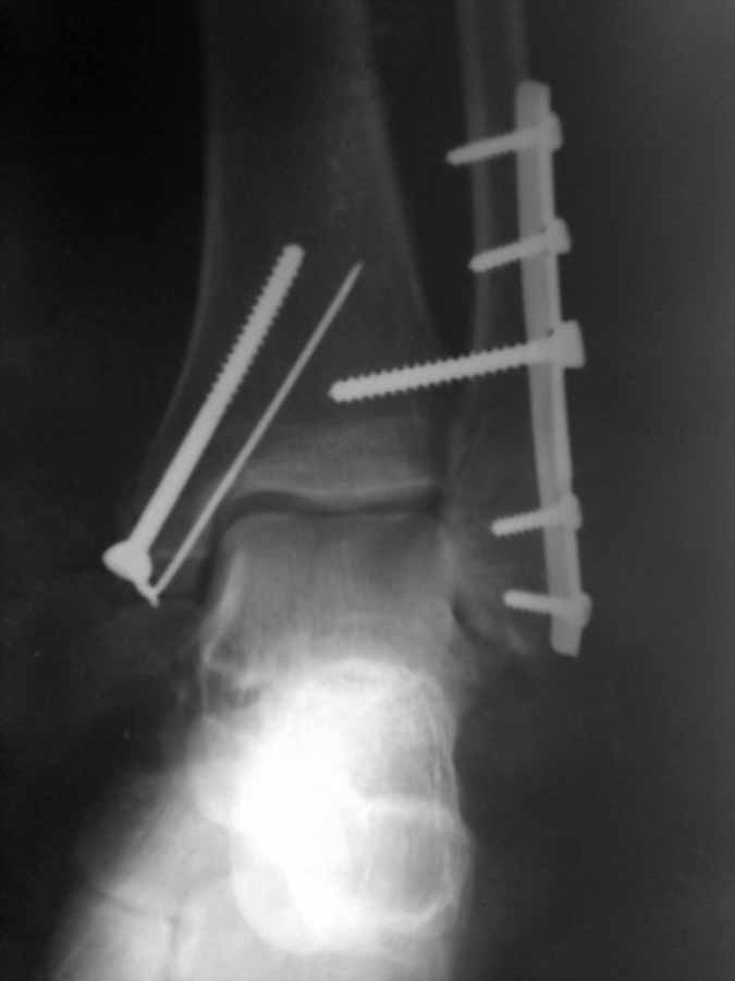
После операции высказали ряд замечаний. Не то что бы имею грандиозный опыт, но результат
считаю достаточно удовлетворительным по крайней мере для того, что бы делать реМОС (так
решило начальство. Оцените обьективно ситуацию и проясните мне - это результат моей
оплошности или предвзятое отношение

oleg
----------- следущая часть -----------
Вложение не в текстовом формате было извлечено…
Имя     : Re-exposure0011.jpg
Тип     : image/jpg
Размер  : 25885 байтов
Описание: отсутствует
Url     : http://weborto.net:8080/pipermail/ortho/attachments/20110524/a7f11dbc/attachment-0001.jpg 


Подробная информация о списке рассылки Ortho