[Ortho] перелом шейки бедра

"Юрий " orthoforum на weborto.net
Вс Окт 2 12:13:07 YEKST 2011


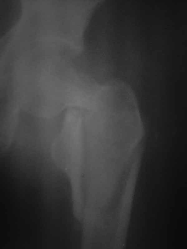
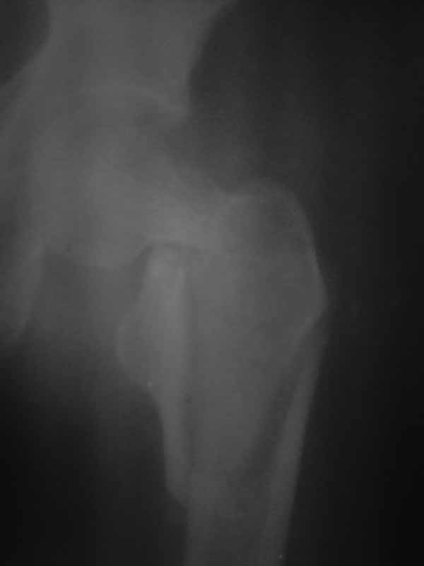
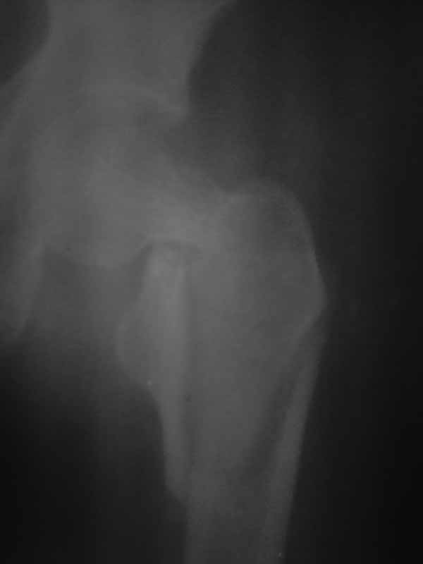
Хотелось услышать дискуссию, по-этому выложил некачественный снимок с вопросом. Стараюсь выложить немного лучше. Гамму она преобрести не сможет. Смущает то что шейка больно хлипкая и винтом развалим ее до конца. На снимке кажется что и фрагмент шейки также сломан вдоль. 
Юрий 
----------- следущая часть -----------
Вложение в формате HTML было извлечено…
URL: http://weborto.net:8080/pipermail/ortho/attachments/20111002/91f177e3/attachment-0001.htm 
----------- следущая часть -----------
Вложение не в текстовом формате было извлечено…
Имя     : 1.jpg
Тип     : image/jpg
Размер  : 14128 байтов
Описание: отсутствует
Url     : http://weborto.net:8080/pipermail/ortho/attachments/20111002/91f177e3/attachment-0004.jpg 
----------- следущая часть -----------
Вложение не в текстовом формате было извлечено…
Имя     : 2.jpg
Тип     : image/jpg
Размер  : 14125 байтов
Описание: отсутствует
Url     : http://weborto.net:8080/pipermail/ortho/attachments/20111002/91f177e3/attachment-0005.jpg 
----------- следущая часть -----------
Вложение не в текстовом формате было извлечено…
Имя     : 3.jpg
Тип     : image/jpg
Размер  : 16487 байтов
Описание: отсутствует
Url     : http://weborto.net:8080/pipermail/ortho/attachments/20111002/91f177e3/attachment-0006.jpg 
----------- следущая часть -----------
Вложение не в текстовом формате было извлечено…
Имя     : 4.jpg
Тип     : image/jpg
Размер  : 14140 байтов
Описание: отсутствует
Url     : http://weborto.net:8080/pipermail/ortho/attachments/20111002/91f177e3/attachment-0007.jpg 


Подробная информация о списке рассылки Ortho