[Ortho] Ложный сустав голени

VlaD orthoforum на weborto.net
Сб Окт 8 18:15:13 YEKST 2011


Здравствуйте, уважаемые коллеги.

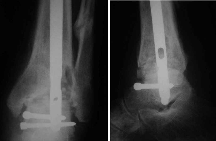
Интересный случай.  Допускаю, что состояние мягких тканей приемлемое. Цель  лечения должна  заключаться, как мне кажется,  в ликвидации ложного сустава и достижении артродеза голеностопного сустава. Впрочем, это две взаимосвязанные задачи. Мы бы оперировали следующим образом. Остеотомия малоберцовой кости на вершине деформации. Передне-медиальным  доступом артротомия голеностопного сустава, резекция суставных поверхностей с отломков большеберцовой и таранной костей, удаление рубцов между отломками дистального эпиметафиза большеберцовой кости,  антеградный  стержень с  дистальным блокированием в таранной кости, костная пластика дефекта спонгиозным костным трансплантатом из крыла (возможно сразу из двух) подвздошной кости. Банальные артродезы голеностопного сустава мы обычно выполняем антеградным блокированным стержнем (см. вложенный файл), что позволяет сохранить подтаранный сустав, и нагружать ногу сразу после операции.

С уважением, VlaD.
----------- следущая часть -----------
Вложение в формате HTML было извлечено…
URL: http://weborto.net:8080/pipermail/ortho/attachments/20111008/b590f013/attachment-0001.htm 
----------- следущая часть -----------
Вложение не в текстовом формате было извлечено…
Имя     : ankle arthrodesis.jpg
Тип     : image/jpg
Размер  : 30249 байтов
Описание: отсутствует
Url     : http://weborto.net:8080/pipermail/ortho/attachments/20111008/b590f013/attachment-0001.jpg 


Подробная информация о списке рассылки Ortho