[Ortho] Перелом бедра и голени

"Сергей" orthoforum на weborto.net
Вс Окт 9 21:00:31 YEKST 2011


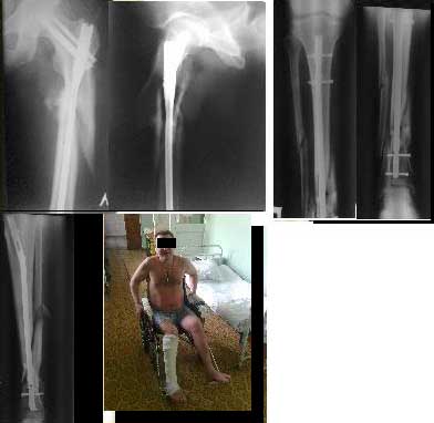
30/09/2011 синтез левого бедра PFN длинный на ортопедическом столе в закрытую.
5.10.2011 синтез правой голени стержнем Деост, в закрытую с применением дистрактора и остеотомией малоберцовой кости. Снимкти в приложении. Пациент активизирован, начал передвигаться на коляске, сегодня встал с костылями.
Сергей
----------- следущая часть -----------
Вложение в формате HTML было извлечено…
URL: http://weborto.net:8080/pipermail/ortho/attachments/20111009/f3eab8aa/attachment-0001.htm 
----------- следущая часть -----------
Вложение не в текстовом формате было извлечено…
Имя     : 6.jpg
Тип     : image/jpg
Размер  : 31845 байтов
Описание: отсутствует
Url     : http://weborto.net:8080/pipermail/ortho/attachments/20111009/f3eab8aa/attachment-0001.jpg 


Подробная информация о списке рассылки Ortho