[Ortho] перелом луча

Evgueny evgueny на iway.na
Ср Окт 12 04:46:32 YEKST 2011


Александр,


У вашего больного нестабильный характер перелома, поэтому консервативное лечение не эффективно. Показана открытая репозиция и фиксация Т образной реконструктивной пластиной по волярной поверхности и чем раньше, тем технически проще будет восстановить анатомию сустава. Важный момент - интраоперационная флюороскопия, позволит избежать неожиданных *сюрпризов* на постоп. Ргграммах и повторных вмешательств.
Успехов,
Е.Чекашкин
  ----- Original Message ----- 
  From: "Савранский Александр" 
  To: alex на weborto.net 
  Sent: Monday, October 10, 2011 10:31 PM
  Subject: [Ortho] перелом луча


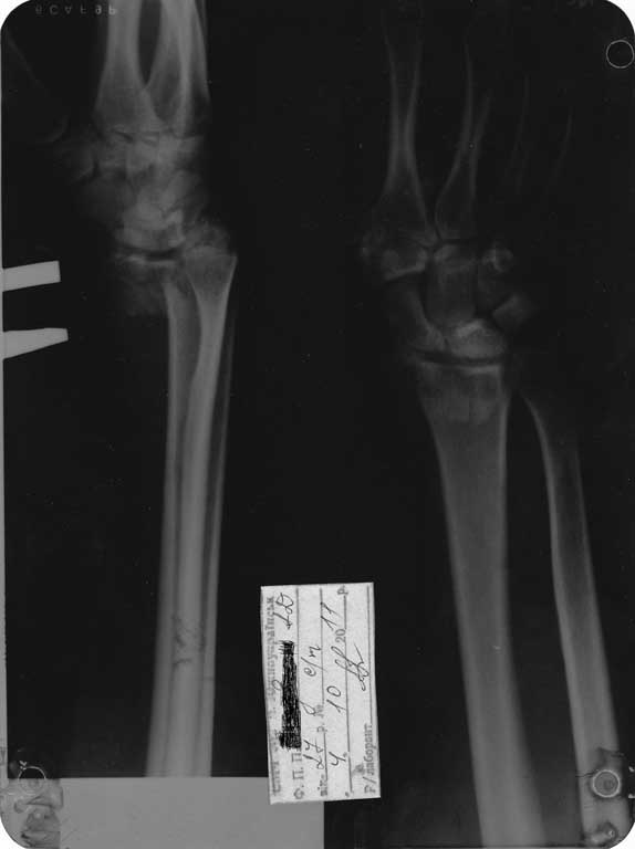
  Здравствуйте, уважаемые коллеги!Хочу представить внутрисуставной перелом луча,со
  смещением ладонного фрагмента.Имеется подвывих кисти.Закрытая репозиция недостаточна,
  после спадения отека тенденция к усилению смещения.Прошу посоветовать оптимальный
  вариант решения проблемы.


  Савранский Александр



------------------------------------------------------------------------------


  _______________________________________________
  Ortho mailing list
  Ortho на weborto.net
  http://weborto.net:8080/mailman/listinfo/ortho
----------- следущая часть -----------
Вложение в формате HTML было извлечено…
URL: http://weborto.net:8080/pipermail/ortho/attachments/20111012/ee680494/attachment-0001.htm 
----------- следущая часть -----------
Вложение не в текстовом формате было извлечено…
Имя     : отсутствует
Тип     : image/jpg
Размер  : 30654 байтов
Описание: отсутствует
Url     : http://weborto.net:8080/pipermail/ortho/attachments/20111012/ee680494/attachment-0001.jpg 


Подробная информация о списке рассылки Ortho