[Ortho] перелом луча

Djoldas Kuldjanov kuldjad на slu.edu
Ср Окт 12 03:02:24 YEKST 2011


*"**Давность травмы- неделя. Интересует доступ, рекомендуемые фиксаторы.
Если есть, то примеры на снимках**"*

* *

Неплохо было бы выставить информацию о возрасте? А так доступ волярный,
фиксатор любой из DVR.

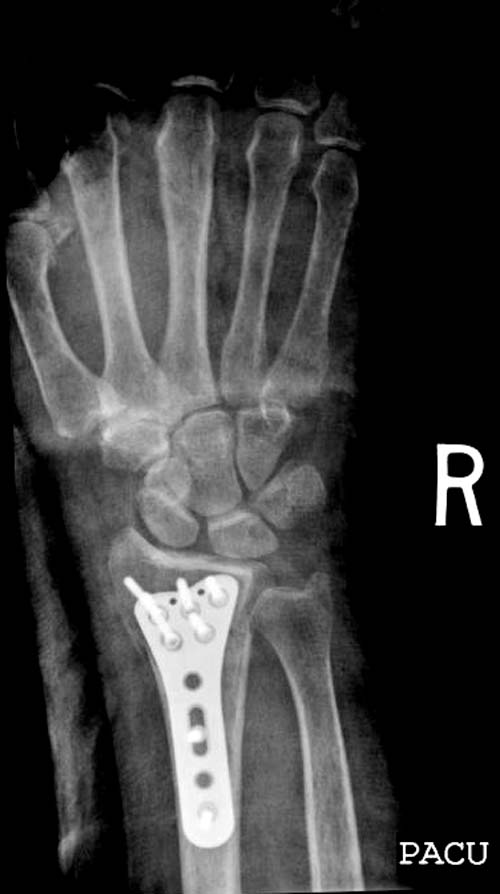
Переломы волярной пластины (ладонние) со смещением относится к нестабильным
переломам и удержать подвывих кисти можно только волярной (Butress)
пластиной. Одним из первых пластин для лечения дистальных переломов луча
является DVR Hand Innovation (сегодня DePuy)
http://www.rcsed.ac.uk/fellows/lvanrensburg/classification/surgtech/depuy/manuals/DVR%20distal%20radius.pdf

http://www.depuy.com/sites/default/files/products/files/DO_DVR_Surgical_Technique_US_1_4_0.pdf



Сегодня все компании: Synthes, Stryker, Zimmer, Acumed, TriMed и т.д. имеют
пластину для фиксации дистальнего перелома лучевой кости. На снимке метод
фиксации дистальных переломов, справа Stryker, а слева пластина Synthes,
женщина 58 лет, политравма.



Djoldas Kuldjanov, M.D.
Associate Professor
Department of Orthopedic Surgery
St. Louis University
----------- следущая часть -----------
Вложение в формате HTML было извлечено…
URL: http://weborto.net:8080/pipermail/ortho/attachments/20111011/ab3f170d/attachment-0001.htm 
----------- следущая часть -----------
Вложение не в текстовом формате было извлечено…
Имя     : distal rad fx lt ap.jpg
Тип     : image/jpeg
Размер  : 48725 байтов
Описание: отсутствует
Url     : http://weborto.net:8080/pipermail/ortho/attachments/20111011/ab3f170d/attachment-0004.jpg 
----------- следущая часть -----------
Вложение не в текстовом формате было извлечено…
Имя     : distal rad fx lt lat.jpg
Тип     : image/jpeg
Размер  : 52809 байтов
Описание: отсутствует
Url     : http://weborto.net:8080/pipermail/ortho/attachments/20111011/ab3f170d/attachment-0005.jpg 
----------- следущая часть -----------
Вложение не в текстовом формате было извлечено…
Имя     : distal rad fx rt ap.jpg
Тип     : image/jpeg
Размер  : 46662 байтов
Описание: отсутствует
Url     : http://weborto.net:8080/pipermail/ortho/attachments/20111011/ab3f170d/attachment-0006.jpg 
----------- следущая часть -----------
Вложение не в текстовом формате было извлечено…
Имя     : distal rad fx rt lat.jpg
Тип     : image/jpeg
Размер  : 55672 байтов
Описание: отсутствует
Url     : http://weborto.net:8080/pipermail/ortho/attachments/20111011/ab3f170d/attachment-0007.jpg 


Подробная информация о списке рассылки Ortho