[Ortho] перелом бедра

"Константин Никитин" orthoforum на weborto.net
Пн Окт 17 21:43:53 YEKST 2011


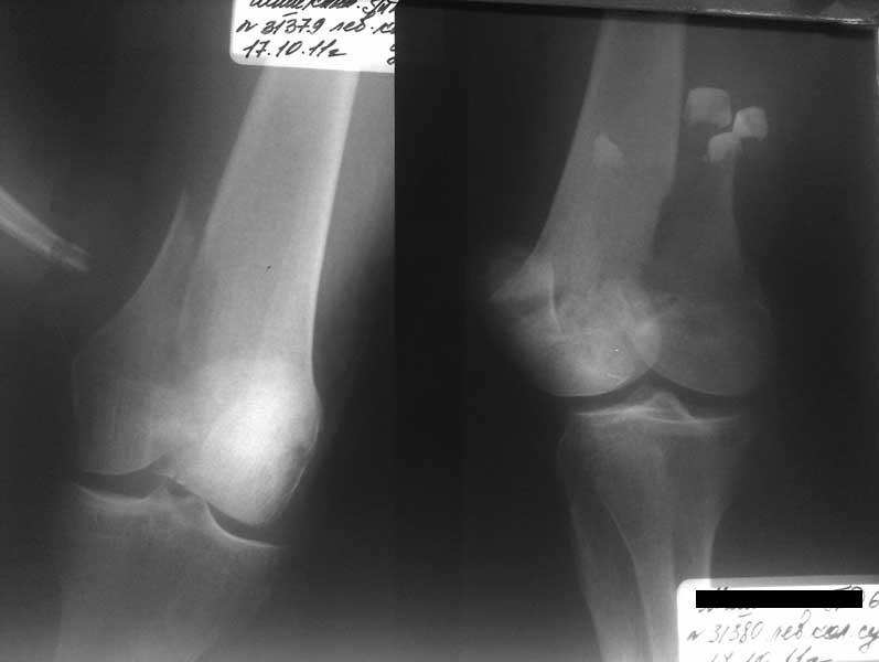
Внутрисуставной чрезмыщелковый перелом бедра

уважаемые коллеги. Подскажите метод лечения пациентки. Больная 62 г. Находилась на лечении
в терапии, где упала 17.10.11. Переведена в травм. отделение. Наложено вытяжение. Что
делать дальше?
Константин Никитин
----------- следущая часть -----------
Вложение в формате HTML было извлечено…
URL: http://weborto.net:8080/pipermail/ortho/attachments/20111017/84e5a444/attachment-0001.htm 
----------- следущая часть -----------
Вложение не в текстовом формате было извлечено…
Имя     : IMAG0026.jpg
Тип     : image/jpg
Размер  : 31790 байтов
Описание: отсутствует
Url     : http://weborto.net:8080/pipermail/ortho/attachments/20111017/84e5a444/attachment-0001.jpg 


Подробная информация о списке рассылки Ortho