[Ortho] Консолидация переломов конечностей, сочетанных с ЧМТ?

"Дедок Михаил" orthoforum на weborto.net
Вс Окт 23 02:25:52 YEKST 2011


Срастаются быстрее.
Нам об этом говорил в РНИИТО им Вредена доцент Соболев.
Убедились сами:
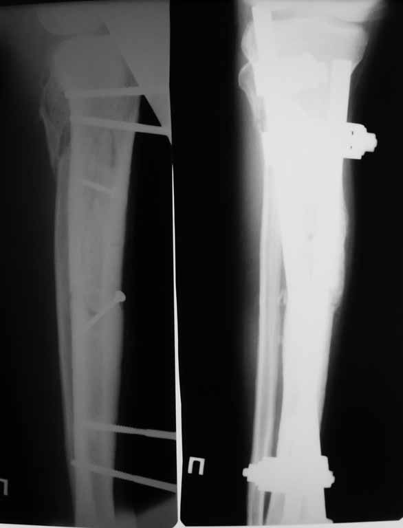
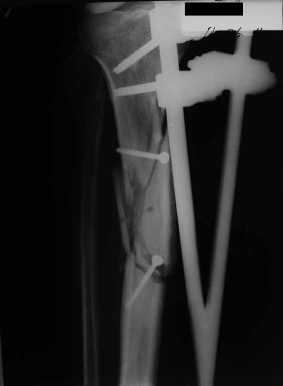
Привожу пример: Пациент с открытой тяжелой ЧМТ. 
Диагноз при поступлении: Открытый оскольчатый перелом свода и основания черепа,субдуральная гематома, ушиб головного мозга тяжелой степени. Открытый оскольчатый перелом костей правой голени. Шок 3 Кома 3 
----------- следущая часть -----------
Вложение не в текстовом формате было извлечено…
Имя     : DSCN3007.JPG
Тип     : image/jpg
Размер  : 52577 байтов
Описание: отсутствует
Url     : http://weborto.net:8080/pipermail/ortho/attachments/20111023/aa2f7c95/attachment-0004.jpg 
----------- следущая часть -----------
Вложение не в текстовом формате было извлечено…
Имя     : DSCN3053.JPG
Тип     : image/jpg
Размер  : 25843 байтов
Описание: отсутствует
Url     : http://weborto.net:8080/pipermail/ortho/attachments/20111023/aa2f7c95/attachment-0005.jpg 
----------- следущая часть -----------
Вложение не в текстовом формате было извлечено…
Имя     : DSCN3055.JPG
Тип     : image/jpg
Размер  : 27278 байтов
Описание: отсутствует
Url     : http://weborto.net:8080/pipermail/ortho/attachments/20111023/aa2f7c95/attachment-0006.jpg 
----------- следущая часть -----------
Вложение не в текстовом формате было извлечено…
Имя     : DSCN3056.JPG
Тип     : image/jpg
Размер  : 27598 байтов
Описание: отсутствует
Url     : http://weborto.net:8080/pipermail/ortho/attachments/20111023/aa2f7c95/attachment-0007.jpg 
----------- следущая часть -----------

По тяжести ЧМТ ( по данным РКТ) выжить был не должен в принципе.

При поступлении оперирован : трепанация, ПХО, остеосинтез голени.

Консолидация в аппарате внешней фиксации к 2 месяцам. Аппарат снят через 2,5 месяца.
Фото в приложении.

А еще один наш травматолог наблюдал случай, когда у бомжа энцефалопата сросся диафизарный перелом бедра со смещением на скелетной вытяжении за 2 месяца полностью, и он ушел с тростью.
Дедок Михаил



Подробная информация о списке рассылки Ortho