[Ortho] Перелом большеберцовой кости с дефектом дифизарной части

Alexander Chelnokov orthoforum на weborto.net
Вс Окт 23 19:22:36 YEKST 2011


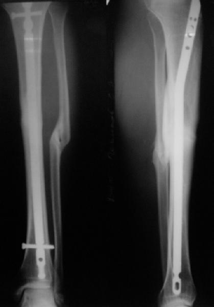
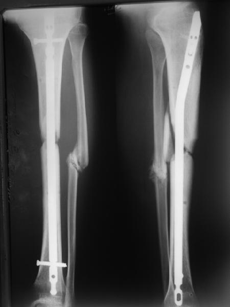
Внедрение одного отломка в другой приведет к укорочению и смещению по ширине. Резекция с выращиванием резко удлинит срок лечения, вероятно, потребуются еще какие-то операции после завершения дистракции... А самое главное, это избыточные действия. Ведь дефект не сегментарный, краевой контакт есть. 
Вполне достаточно закрытого интрамедуллярного остеосинтеза без открытых вмешательств в зоне стыка. Конечно, с рассверливанием. Если есть опасения насчет инфекции, то на гвоздь нанести цемент с ванкомицином.
Гвоздь тут будет эндопротезом диафиза на достаточное время для образования сращения в зоне имеющегося небольшого контакта. И далее страховкой от рефрактур. 

Вот пример, тоже открытый перелом, первичный дефект, пробыл в аппарате 5 мес. Титановый гвоздь,  сразу динамический, без покрытия. Больше не делали ничего. 

Alexander Chelnokov
----------- следущая часть -----------
Вложение в формате HTML было извлечено…
URL: http://weborto.net:8080/pipermail/ortho/attachments/20111023/02514467/attachment-0001.htm 
----------- следущая часть -----------
Вложение не в текстовом формате было извлечено…
Имя     : get_image1.jpg
Тип     : image/jpg
Размер  : 25191 байтов
Описание: отсутствует
Url     : http://weborto.net:8080/pipermail/ortho/attachments/20111023/02514467/attachment-0003.jpg 
----------- следущая часть -----------
Вложение не в текстовом формате было извлечено…
Имя     : get_image2.jpg
Тип     : image/jpg
Размер  : 19770 байтов
Описание: отсутствует
Url     : http://weborto.net:8080/pipermail/ortho/attachments/20111023/02514467/attachment-0004.jpg 
----------- следущая часть -----------
Вложение не в текстовом формате было извлечено…
Имя     : get_image3.jpg
Тип     : image/jpg
Размер  : 16205 байтов
Описание: отсутствует
Url     : http://weborto.net:8080/pipermail/ortho/attachments/20111023/02514467/attachment-0005.jpg 


Подробная информация о списке рассылки Ortho