[Ortho] дефект бедренной кости при интрамедуллярном остеосинтезе

"Александр" orthoforum на weborto.net
Пт Окт 28 00:24:21 YEKST 2011


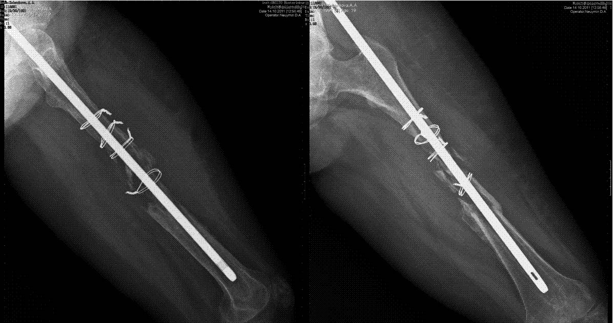
Уважаемые коллеги, выскажите пожалуйста свое мнение.пациентка 19 лет. выполнен
остеосинтез стержнем, в послеоперационном периоде лизирование кости между проволочными
петлями. у пациентки укорочение бедра 3,4см.+ дефект 10см.


Александр
----------- следущая часть -----------
Вложение в формате HTML было извлечено…
URL: http://weborto.net:8080/pipermail/ortho/attachments/20111028/df5a0660/attachment-0001.htm 
----------- следущая часть -----------
Вложение не в текстовом формате было извлечено…
Имя     : as.jpg
Тип     : image/jpg
Размер  : 163804 байтов
Описание: отсутствует
Url     : http://weborto.net:8080/pipermail/ortho/attachments/20111028/df5a0660/attachment-0001.jpg 


Подробная информация о списке рассылки Ortho