[Ortho] .

"âÅÒÅÖÎÏÊ óÅÒÇÅÊ" orthoforum weborto.net
29 02:50:19 YEKST 2011


Уважаемые коллеги. Хотелось бы услышать мнения и советы по представляемому случаю.

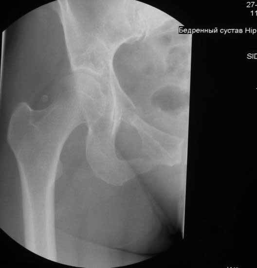
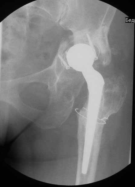
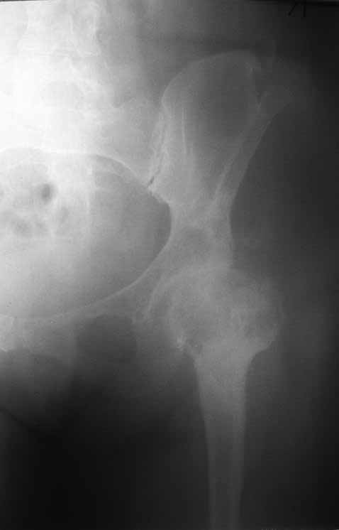
Пациентка 45 лет. Бесцементное эндопротезирование левого тазобедренного сустава 6 лет
назад (впадина RM, Mathys, металл-металл, ножка Зульцеровская). За 10 лет до
протезирования коррегирующая остеотомия бедренной кости, которая не срослась в течение
года до удаления пластины, а затем срослась в течение 3 месяцев иммобилизации в кокситной
повязке. После протезирования получилось наблюдать пациентку почти постоянно, поскольку
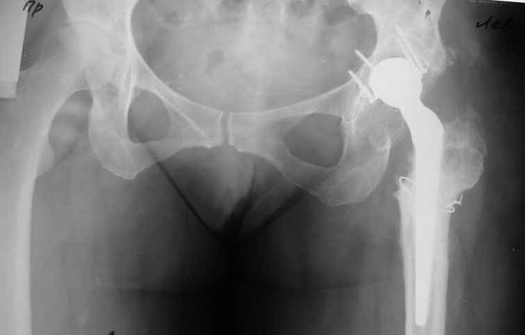
через 2 года синтезировал ей лодыжки на оперированной стороне, затем, через несколько
месяцев удалил фиксаторы, а в 2009г. резецировал мениск на противоположной стороне. Боли
все эти годы не беспокоили. Пациентка чуть выше среднего роста, вес тела нормальный.
Физические нагрузки переносила хорошо. Работает на 7 этаже без лифта. Год назад экстирпация
матки по поводу лейомиомы больших размеров. Несколько месяцев назад появились боли в
области левого тазобедренного сустава. При рентгеновском и КТ исследованиях (июль с.г.)
нестабильность тазового компонента. От предложенной замены протеза пациентка на тот
момент, слава богу, отказалась. Через какое то время боли в области левого тазобедренного
сустава практически полностью прошли, а около 2 месяцев назад появилось ощущение
патологической подвижности таза и боли в паху справа, которые через некоторое время
уменьшились, а потом снова усилились после значительных физических нагрузок (много ходила
по песку на пляже, носила тяжести). Ежедневно принимала диклофенак. На рентгенограммах
переломы правой лонной кости. Сейчас госпитализирована из-за болей в паху справа. Боли
слева не беспокоят. На фоне снижения нагрузок в стационаре боли значимо уменьшились.
Способна ходить без средств дополнительной опоры. В анализах крови чуть повышены
трансаминазы и гамма-ГТ, моча без особенностей. 


Вопросы: -правильно ли я расцениваю
переломы как стрессовые на фоне неполноценного таза (pelvic insufficiency stress
fractures)? 

-Можно ли так же расценить ситуацию на стороне протеза и, соответственно, не
торопиться с ревизией, рассчитывая на вторичную стабилизацию? Уж больно не хочется менять
ножку. 

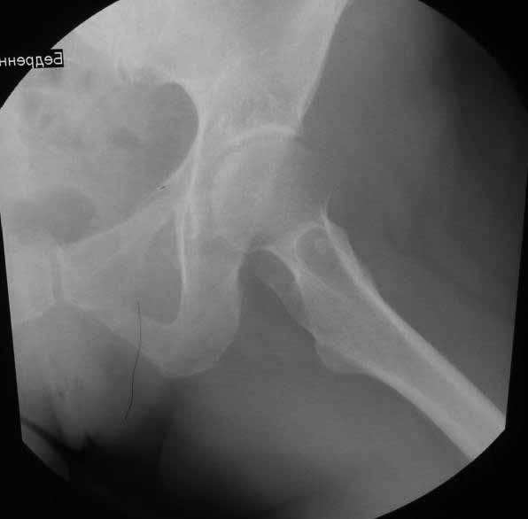
-Если думать о ревизии, то когда? На представленных снимках тазобедренный сустав до и
сразу после операции, затем 2 снимка 2009г., когда ничего не беспокоило, затем КТ 2-х
месячной давности и вчерашние рентгенограммы обоих тазобедренных суставов.
Бережной Сергей
-----------   -----------
Вложение в формате HTML было извлечено…
URL: http://weborto.net:8080/pipermail/ortho/attachments/20111029/ac7523c3/attachment-0001.htm 
-----------   -----------
Вложение не в текстовом формате было извлечено…
Имя     : image001.jpg
Тип     : image/jpg
Размер  : 17829 байтов
Описание: отсутствует
Url     : http://weborto.net:8080/pipermail/ortho/attachments/20111029/ac7523c3/attachment-0012.jpg 
-----------   -----------
Вложение не в текстовом формате было извлечено…
Имя     : image003.jpg
Тип     : image/jpg
Размер  : 22179 байтов
Описание: отсутствует
Url     : http://weborto.net:8080/pipermail/ortho/attachments/20111029/ac7523c3/attachment-0013.jpg 
-----------   -----------
Вложение не в текстовом формате было извлечено…
Имя     : image005.jpg
Тип     : image/jpg
Размер  : 18567 байтов
Описание: отсутствует
Url     : http://weborto.net:8080/pipermail/ortho/attachments/20111029/ac7523c3/attachment-0014.jpg 
-----------   -----------
Вложение не в текстовом формате было извлечено…
Имя     : image007.jpg
Тип     : image/jpg
Размер  : 21275 байтов
Описание: отсутствует
Url     : http://weborto.net:8080/pipermail/ortho/attachments/20111029/ac7523c3/attachment-0015.jpg 
-----------   -----------
Вложение не в текстовом формате было извлечено…
Имя     : image009.jpg
Тип     : image/jpg
Размер  : 43242 байтов
Описание: отсутствует
Url     : http://weborto.net:8080/pipermail/ortho/attachments/20111029/ac7523c3/attachment-0016.jpg 
-----------   -----------
Вложение не в текстовом формате было извлечено…
Имя     : image011.jpg
Тип     : image/jpg
Размер  : 38426 байтов
Описание: отсутствует
Url     : http://weborto.net:8080/pipermail/ortho/attachments/20111029/ac7523c3/attachment-0017.jpg 
-----------   -----------
Вложение не в текстовом формате было извлечено…
Имя     : image013.jpg
Тип     : image/jpg
Размер  : 37111 байтов
Описание: отсутствует
Url     : http://weborto.net:8080/pipermail/ortho/attachments/20111029/ac7523c3/attachment-0018.jpg 
-----------   -----------
Вложение не в текстовом формате было извлечено…
Имя     : image015.jpg
Тип     : image/jpg
Размер  : 38232 байтов
Описание: отсутствует
Url     : http://weborto.net:8080/pipermail/ortho/attachments/20111029/ac7523c3/attachment-0019.jpg 
-----------   -----------
Вложение не в текстовом формате было извлечено…
Имя     : image017.jpg
Тип     : image/jpg
Размер  : 36660 байтов
Описание: отсутствует
Url     : http://weborto.net:8080/pipermail/ortho/attachments/20111029/ac7523c3/attachment-0020.jpg 
-----------   -----------
Вложение не в текстовом формате было извлечено…
Имя     : image019.jpg
Тип     : image/jpg
Размер  : 22271 байтов
Описание: отсутствует
Url     : http://weborto.net:8080/pipermail/ortho/attachments/20111029/ac7523c3/attachment-0021.jpg 
-----------   -----------
Вложение не в текстовом формате было извлечено…
Имя     : image021.jpg
Тип     : image/jpg
Размер  : 23221 байтов
Описание: отсутствует
Url     : http://weborto.net:8080/pipermail/ortho/attachments/20111029/ac7523c3/attachment-0022.jpg 
-----------   -----------
Вложение не в текстовом формате было извлечено…
Имя     : image023.jpg
Тип     : image/jpg
Размер  : 21774 байтов
Описание: отсутствует
Url     : http://weborto.net:8080/pipermail/ortho/attachments/20111029/ac7523c3/attachment-0023.jpg 


Ortho