[Ortho] перелом бедра

Alexander Chelnokov alex61 на gmail.com
Вс Окт 30 23:13:58 YEKT 2011


Приветствую,

30 октября 2011 г. 13:18 пользователь VlaD <orthoforum на weborto.net> написал:

> Можно предположить, что  в техническом плане  таким образом ввести
> блокирующие винты является непростой задачей.
>

Чуть посложнее, чем один винт. Надо ввести в отверстие спицу, далее по
направителю еще две, и по ним канюлированным сверлом. Ну и вводить двумя
отвертками надо, чтобы раньше времени не заклинилось.


> Кроме того,  все они расположены в одной плоскости на небольшом расстоянии
> друг от друга. Мне представляется, что конструкция с максимальными
> прочностными характеристиками будет иметь вид предложенной во вложенном
> файле. Т
>

Рационально ориентироваться на качественный аспект - проблема или решается,
или нет. Переломы типа 33C1 или C2 (то есть без фронтального раскалывания
мыщелков, как на показанной Вами томограмме) при обычном качестве кости
успешно можно фиксировать гвоздями с фронтальными винтами. Получается, их
прочностных характеристик уже достаточно.
Да, если винтов вводить больше, под разным углами, увеличить их диаметр,
использовать вместо винтов что-то другое (спиральный клинок,  двутавр, еще
что-то), делать аугментацию цементом и т.д. и т.п., прочностные
характеристики можно увеличивать. Но раз планку приемлемости для таких
переломов преодолевают конструкции с фронтальными винтами, то дальнейшее
количественное изменение прочности не становится качественным. То есть
после девятой ложки сахара чай слаще уже не делается.
Да, есть другие ситуации (переломы C3, или остеопороз, или инфекция, или
дефект, или надо завтра прыгать на свежепочиненной ноге без парашюта, или
еще что-то) - там планка приемлемости может быть расположена по-другому, и
минимально приемлемой будет другая конструкция.

акую конфигурацию расположения блокирующих отверстий на дистальном конце
> имеет стержень для большеберцовой кости фирмы ChM. Для бедренной кости
> такой стержень мне неизвестен. Поэтому в необходимых случаях (хорошо, что
> такие случаи встречаются не часто), как вариант, мы
>

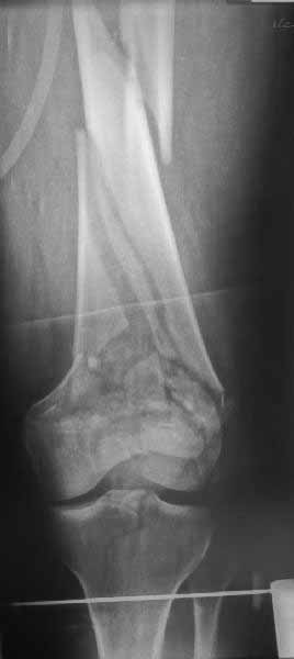
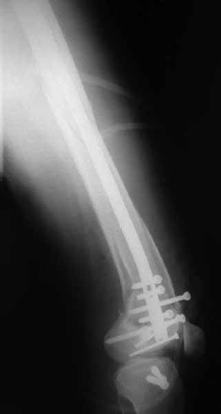
Такое проведение винтов становятся критически важным при переломах типа C3.
Где, как правило, без открытой репозиции не обойтись. И пластины тут
предлагают больше возможностей - и винтов много, и полиаксиально можно
вводить. Иногда гвозди тоже получается использовать. Раз уж колено открыли,
то через него и ввести проще, и винты в разных плоскостях с кондуктором
удобнее вводить. Так что ретроградные становятся привлекательнее. И
большеберцовые, кстати, в качестве ретроградных бедренных очень хорошо
использовать. В приложении пример недавней операции, C3, открытая
репозиция, фиксация мыщелков спицами и винтами, ретроградный синтез
большеберцовым гвоздем 10,5 мм диаметром, винты 5 мм.


-- 
Best regards,
 Alexander N. Chelnokov
Ural Scientific Research Institute
of Traumatology and Orthopaedics
7, Bankovsky str. Ekaterinburg 620014 Russia
----------- следущая часть -----------
Вложение в формате HTML было извлечено&hellip;
URL: http://weborto.net:8080/pipermail/ortho/attachments/20111030/79852ebf/attachment-0001.htm 
----------- следущая часть -----------
Вложение не в текстовом формате было извлечено&hellip;
Имя     : get_image0.jpg
Тип     : image/jpeg
Размер  : 18370 байтов
Описание: отсутствует
Url     : http://weborto.net:8080/pipermail/ortho/attachments/20111030/79852ebf/attachment-0005.jpg 
----------- следущая часть -----------
Вложение не в текстовом формате было извлечено&hellip;
Имя     : get_image1.jpg
Тип     : image/jpeg
Размер  : 39650 байтов
Описание: отсутствует
Url     : http://weborto.net:8080/pipermail/ortho/attachments/20111030/79852ebf/attachment-0006.jpg 
----------- следущая часть -----------
Вложение не в текстовом формате было извлечено&hellip;
Имя     : get_image2.jpg
Тип     : image/jpeg
Размер  : 33171 байтов
Описание: отсутствует
Url     : http://weborto.net:8080/pipermail/ortho/attachments/20111030/79852ebf/attachment-0007.jpg 
----------- следущая часть -----------
Вложение не в текстовом формате было извлечено&hellip;
Имя     : get_image3.jpg
Тип     : image/jpeg
Размер  : 13918 байтов
Описание: отсутствует
Url     : http://weborto.net:8080/pipermail/ortho/attachments/20111030/79852ebf/attachment-0008.jpg 
----------- следущая часть -----------
Вложение не в текстовом формате было извлечено&hellip;
Имя     : get_image4.jpg
Тип     : image/jpeg
Размер  : 16173 байтов
Описание: отсутствует
Url     : http://weborto.net:8080/pipermail/ortho/attachments/20111030/79852ebf/attachment-0009.jpg 


Подробная информация о списке рассылки Ortho